| 年齢 | 45歳 |
|---|---|
| 性別 | 女性 |
| 初診日 | 2016年6月 |
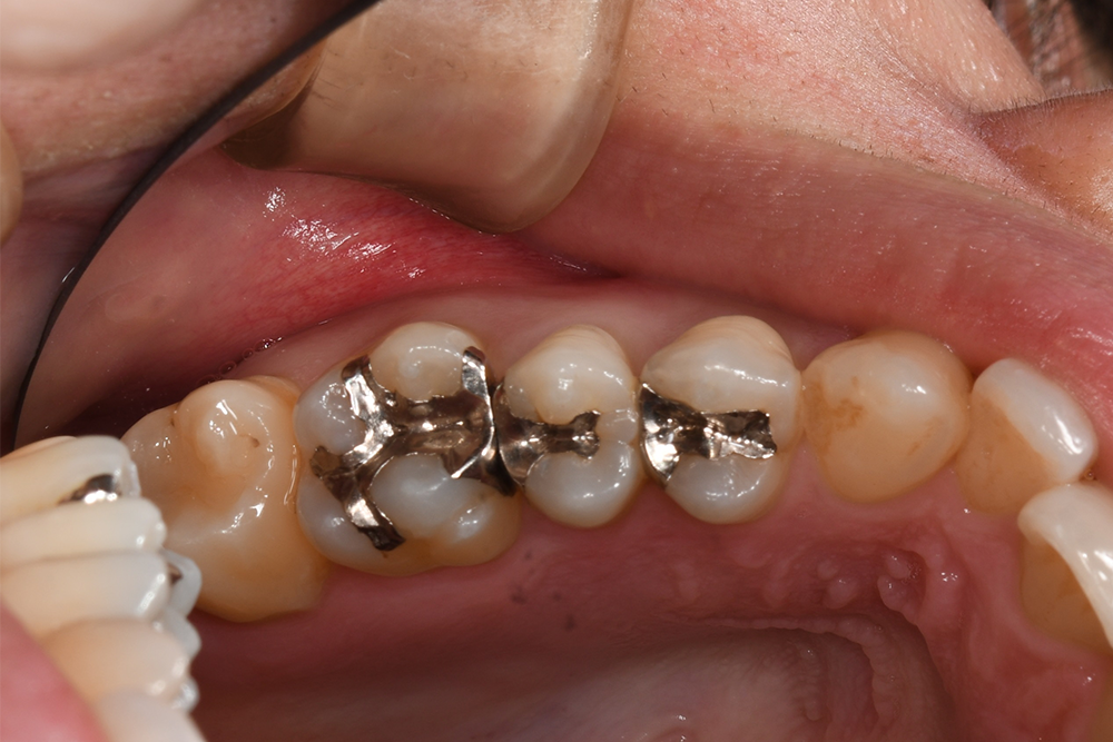
| 主訴 | 銀歯を白くしたい |
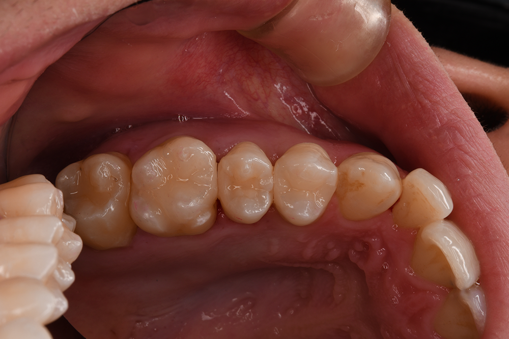
| 治療内容 | セラミックインレー |
| 治療期間 | 2日 |
| 治療費用 | 77000円 ×3本 |
| 治療経過 | 銀歯を白くしたいとのことで、セラミックへのやり変えをしていくことになったのだが、 銀歯を取り除いた歯の内部には全て虫歯ができており、結果的に銀歯による修復方法の二次う蝕のリスクの高さを痛感させられることとなった。 |
| リスク・副作用について |
|






2022年4月28日
| 年齢 | 45歳 |
|---|---|
| 性別 | 女性 |
| 初診日 | 2016年6月 |
| 主訴 | 銀歯を白くしたい |
| 治療内容 | セラミックインレー |
| 治療期間 | 2日 |
| 治療費用 | 77000円 ×3本 |
| 治療経過 | 銀歯を白くしたいとのことで、セラミックへのやり変えをしていくことになったのだが、 銀歯を取り除いた歯の内部には全て虫歯ができており、結果的に銀歯による修復方法の二次う蝕のリスクの高さを痛感させられることとなった。 |
| リスク・副作用について |
|






当院では、患者さんが抱えていらっしゃるお口のお悩みや疑問・不安などにお応えする機会を設けております。どんなことでも構いませんので、私たちにお話ししていただけたらと思います。
ご興味がある方は下記からお問い合わせください。