症例集

092-541-2781

キービジュアル
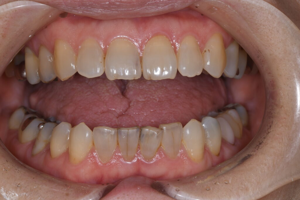
虫歯治療(40代)ダイレクトボンディング、セラミッククラウン

虫歯治療(40代)ダイレクトボンディング、セラミック…

年齢 48歳 性別 男性 初診日 2024年1月 主訴 虫歯治療 治療内容 ダイレクトボンディング、セラミッククラウン 治療期間 1ヶ月 治療費用 約26万 治療経過 メンテナンス中に左上にものが挟まる…

2024.10.2

歯の白濁が気になる(30代)アイコン

歯の白濁が気になる(30代)アイコン

年齢 30歳 性別 女性 初診日 2024年6月 主訴 歯の白濁 治療内容 アイコン 治療期間 2回 治療費用 1歯に対し1回2万円 治療経過 虫歯の治療中に前歯の白濁が気になっているとの訴えがあった。…

2024.9.5

歯が欠けた(20代)セラミックインレー

歯が欠けた(20代)セラミックインレー

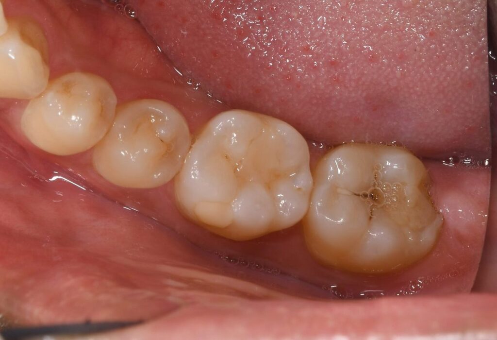
年齢 20歳 性別 男性 初診日 2024年6月 主訴 歯が欠けた 治療内容 セラミックインレー 治療期間 2日 治療費用 110000円 治療経過 食事中に歯が欠けたとのことで来院された。 左下の最…

2024.8.8

歯がしみる(40代)セラミック治療(テーブルトップベニア)

歯がしみる(40代)セラミック治療(テーブルトップベ…

年齢 42歳 性別 女性 初診日 2024年6月 主訴 虫歯治療 治療内容 セラミック治療 治療期間 2日 治療費用 143000円 治療経過 メンテナンス来院時に右下がしみるとの訴えがあった。 確認…

2024.7.24

歯がグラグラする(30代)インプラント・セラミック修復

歯がグラグラする(30代)インプラント・セラミック修…

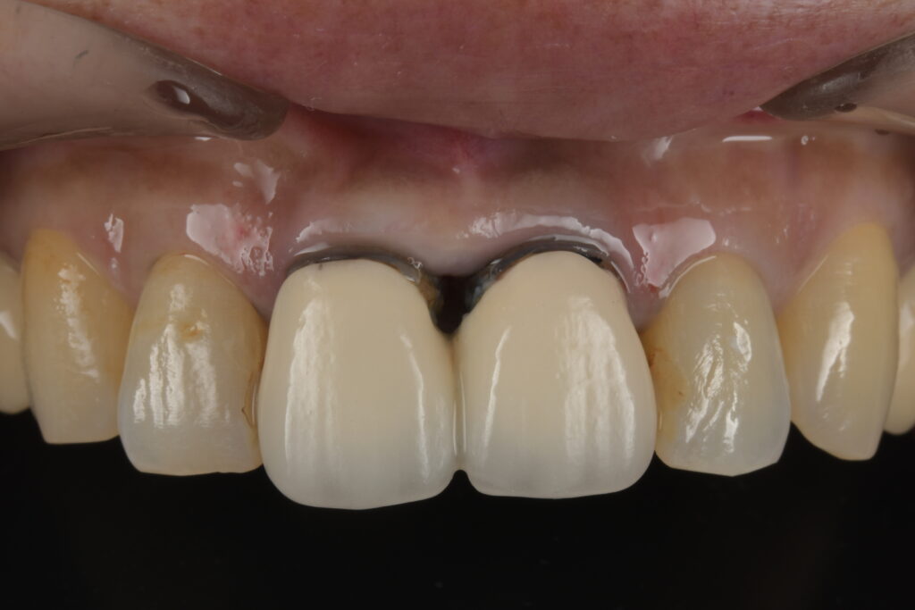
年齢 38歳 性別 女性 初診日 2021年11月 主訴 歯がグラグラする 治療内容 インプラント・セラミック修復 治療期間 1年2ヶ月 治療費用 約85万円 治療経過 前歯の差し歯がグラグラするとのことで来院された。 左の前歯は歯根が折れており、保存が難しい状態で…

2024.7.3

下の前歯を綺麗にしたい(60代)セラミック修復・ホワイトニング

下の前歯を綺麗にしたい(60代)セラミック修復・ホワ…

年齢 68歳 性別 女性 初診日 2021年9月 主訴 虫歯治療 治療内容 セラミック修復・ホワイトニング 治療期間 3ヶ月 治療費用 約60万円 治療経過 下の前歯を綺麗にしたいとのことでホワイトニング希望で来院された。 ホワイトニングによって全体的な色調は明るく…

2023.10.29

右上の歯が折れた2(50代)セラミック修復・ダイレクトボンディング

右上の歯が折れた2(50代)セラミック修復・ダイレク…

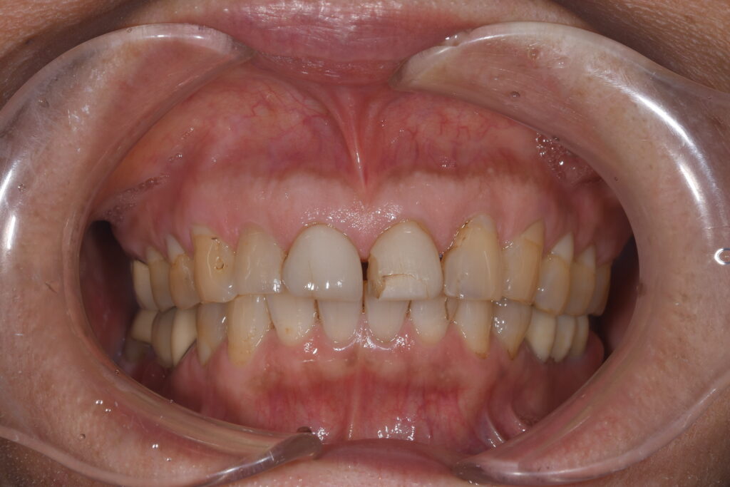
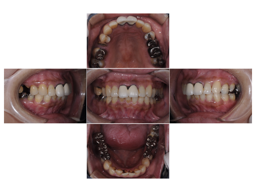
年齢 59歳 性別 女性 初診日 2021年5月 主訴 虫歯治療 治療内容 セラミック修復・ダイレクトボンディング 治療期間 1年8ヶ月 治療費用 約250万円(前歯は約30万円) 治療経過 全体的な治療を進めていく中で、前歯の見た目を気にされていた。(全顎治療の様…

2023.10.29

右上の歯が折れた1(50代)セラミック修復・ダイレクトボンディング

右上の歯が折れた1(50代)セラミック修復・ダイレク…

年齢 59歳 性別 女性 初診日 2021年5月 主訴 虫歯治療 治療内容 セラミック修復・ダイレクトボンディング 治療期間 1年8ヶ月 治療費用 約250万円 治療経過 右上の歯牙が破折したことを主訴に来院された。 不良な修復物も多く、歯周病も中等度に進行していた…

2023.10.29

歯並びを治したい(20代)マウスピースによる部分矯正

歯並びを治したい(20代)マウスピースによる部分矯正

年齢 20歳 性別 女性 初診日 2022年9月 主訴 歯並びを治したい 治療内容 マウスピース矯正 治療期間 5ヶ月 治療費用 50万円 治療経過 歯並びを治したいとのことで来院された。 全体的にガタつきが多く、本来の適応症は抜歯矯正による全顎矯正ではあったが、本…

2023.7.7

前歯が欠けた(60代)セラミック修復・ホワイトニング

前歯が欠けた(60代)セラミック修復・ホワイトニング

年齢 67歳 性別 女性 初診日 2022年7月 主訴 審美障害 治療内容 セラミック修復・ホワイトニング 治療期間 4ヶ月 治療費用 約50万円 治療経過 前歯が欠けたとのことで来院された。 元々装着されていたラミネートベニアの破折であった。 ラミネートベニアのや…

2023.2.27

初診「個別」相談へのご案内

当院では、患者さんが抱えていらっしゃるお口のお悩みや疑問・不安などにお応えする機会を設けております。どんなことでも構いませんので、私たちにお話ししていただけたらと思います。
ご興味がある方は下記からお問い合わせください。

ご予約・お問い合わせ

092-541-2781

24時間受付中WEB予約

〒815-0033
福岡県福岡市南区大橋2-12-13

西鉄電車「大橋」駅より8分

西鉄バス「東大橋」バス停より1分

駐車場10台(当院専用4台/
    指定コインパーキング6台)