インプラント

092-541-2781

キービジュアル
インプラント歴18年以上の実績

もう一度
「しっかりめる」日常

CT・ガイドによる安全なインプラント治療で、
天然歯のような嚙み心地を。
  • 患者さんの負担が少ない術式
  • 治療後の様子をデジタルシミュレーション
  • 安心の10年保証
骨造成にも対応しています。
他院でインプラント治療が
できなかった方も、
ご相談ください。
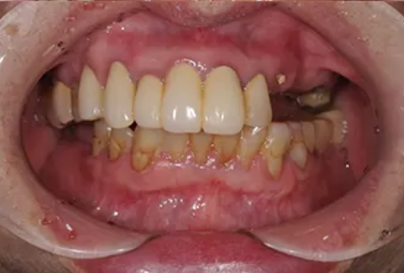
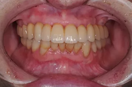
  • 治療前
  • 治療後

治療内容:インプラント、セラミック修復
治療期間:1年半
費用:430万円
リスクと副作用:セラミックはかみ合わせや歯ぎしりが強い方は割れる可能性があります。
経年的に劣化(摩耗)してくる可能性があります。
インプラント術後に腫れや痛み、違和感が出る場合があります。
定期的なメンテナンスを怠ったり、喫煙をされる場合、インプラント周囲炎(歯周病)を引き起こす可能性があります。

  • 治療前
  • 治療後

治療内容:インプラント、セラミック修復、金属床義歯
治療期間:1年
費用:300万円
リスクと副作用:セラミックはかみ合わせや歯ぎしりが強い方は割れる可能性があります
インプラント術後に腫れや痛み、違和感が出る場合があります。
定期的なメンテナンスを怠ったり、喫煙をされる場合、インプラント周囲炎(歯周病)を引き起こす可能性があります。
金属床義歯は金属の種類によってはアレルギーがでる可能性があります。

  • 治療前
  • 治療後

治療内容:インプラント、セラミック修復、金属床義歯
治療期間:10ヶ月
費用:420万円
リスクと副作用:セラミックはかみ合わせや歯ぎしりが強い方は割れる可能性があります。
経年的に劣化(摩耗)してくる可能性があります。
インプラント術後に腫れや痛み、違和感が出る場合があります。
定期的なメンテナンスを怠ったり、喫煙をされる場合、インプラント周囲炎(歯周病)を引き起こす可能性があります。
金属床義歯は金属の種類によってはアレルギーがでる可能性があります。

  • 治療前
  • 治療後

治療内容:インプラント、セラミック修復
治療期間:1年3ヶ月
費用:550万円
リスクと副作用:セラミックはかみ合わせや歯ぎしりが強い方は割れる可能性があります。
経年的に劣化(摩耗)してくる可能性があります。
インプラント術後に腫れや痛み、違和感が出る場合があります。
定期的なメンテナンスを怠ったり、喫煙をされる場合、インプラント周囲炎(歯周病)を引き起こす可能性があります。

  • 治療前
  • 治療後

治療内容:インプラント、セラミック修復
治療期間:1年3ヶ月
費用:550万円
リスクと副作用:セラミックはかみ合わせや歯ぎしりが強い方は割れる可能性があります。
経年的に劣化(摩耗)してくる可能性があります。
インプラント術後に腫れや痛み、違和感が出る場合があります。
定期的なメンテナンスを怠ったり、喫煙をされる場合、インプラント周囲炎(歯周病)を引き起こす可能性があります。

  • 治療前
  • 治療後

治療内容:インプラント
治療期間:5ヶ月
費用:約45万円
リスクと副作用:術後に腫れや痛み、違和感が出る場合があります。
定期的なメンテナンスを怠ったり、喫煙をされる場合、インプラント周囲炎(歯周病)を引き起こす可能性があります。

「インストラクター」を兼務している院長が必ず担当

患者さんの負担を最小限に抑えるインプラント治療

経歴

福岡市南区大橋生まれ
福岡歯科大学卒業

資格・所属学会・団体

  • 日本口腔インプラント学会 会員
  • 福岡SJCD 会員
  • K-project 会員
  • FCDC OB会 会員
  • 筒井塾包括歯科臨床コース 受講
  • 筒井塾咬合療法コース 受講
  • 土屋賢司審美修復治療ハンズオンコース 受講
  • FCDC 受講
  • FCDC 受講
  • CSTPC 受講
  • ODGC 受講
  • サティフィケイト
  • サティフィケイト
  • サティフィケイト
  • サティフィケイト
  • サティフィケイト
  • サティフィケイト
  • サティフィケイト
  • サティフィケイト
  • サティフィケイト
  • サティフィケイト
  • サティフィケイト
  • サティフィケイト
  • サティフィケイト
  • サティフィケイト
  • サティフィケイト
  • サティフィケイト
  • サティフィケイト
  • サティフィケイト
  • サティフィケイト
  • サティフィケイト
  • サティフィケイト
  • サティフィケイト
  • サティフィケイト
  • サティフィケイト
  • サティフィケイト
歯を失った際の選択肢には、入れ歯やブリッジ、そしてインプラントがあります。特にインプラントは、天然の歯に近い噛みごたえが得られるうえ、隣接する歯に負担をかけない点で大きなメリットがあります。

しかし、インプラント治療は外科手術が必要なため、「時間がかかる」「身体への負担が大きそう」と不安を感じる方も少なくありません。

当院では、患者さんのこうした不安を可能な限り軽減し、安心して治療を受けていただけるよう、充実した設備と高度な技術を備えています。また、万全の体制で臨んでおります。

以下では、当院が提供するインプラント治療の特徴や取り組みについて、詳しくご紹介します。

精密機器で治療の精度と安心を高める

当院では、患者さんに安心して治療を受けていただくために、さまざまな精密機器を導入しています。それぞれの機器について詳しくご紹介します。

CT

インプラント治療では、あごの骨に金属の土台を埋め込む必要があります。あごの骨内には神経や血管が通っているため、これらを傷つけないようにするには、骨の内部の状態を正確に把握することが重要です。

当院では、事前にCT検査を行い、精密な診断を行っています。CTはレントゲンと同様にX線を使用して体内を撮影する装置ですが、レントゲンが一方向からX線を照射するのに対し、CTはお口の周りを360度回転しながら撮影します。その結果、立体的で鮮明な画像を得ることが可能です。

コンピュータを使用したシミュレーション

CTで撮影したデータを用いて、コンピュータのシミュレーションソフトに取り込みます。これにより、インプラント手術の詳細なプランを作成します。

適切なサイズのインプラントをどの位置に、どの角度で、どれくらいの深さまで挿入するかを決定し、神経や血管を傷つけることなく、安全な手術ができるようになります。

サージカルガイド

当院では、シミュレーションソフトを活用してデータを取得し、サージカルガイドを作製します。この装置は、穴の開いたマウスピースのような形状で、手術をサポートするために使用します。

手術の際には、患者さんのお口にこのサージカルガイドを装着し、それに従ってインプラントを埋入します。ガイドの穴に合わせることで、シミュレーション通りの位置、深さ、角度でインプラントを正確に入れることが可能です。

このプロセスによって、人為的なミスを極力排除し、安全性の高いインプラント埋入手術を実現します。

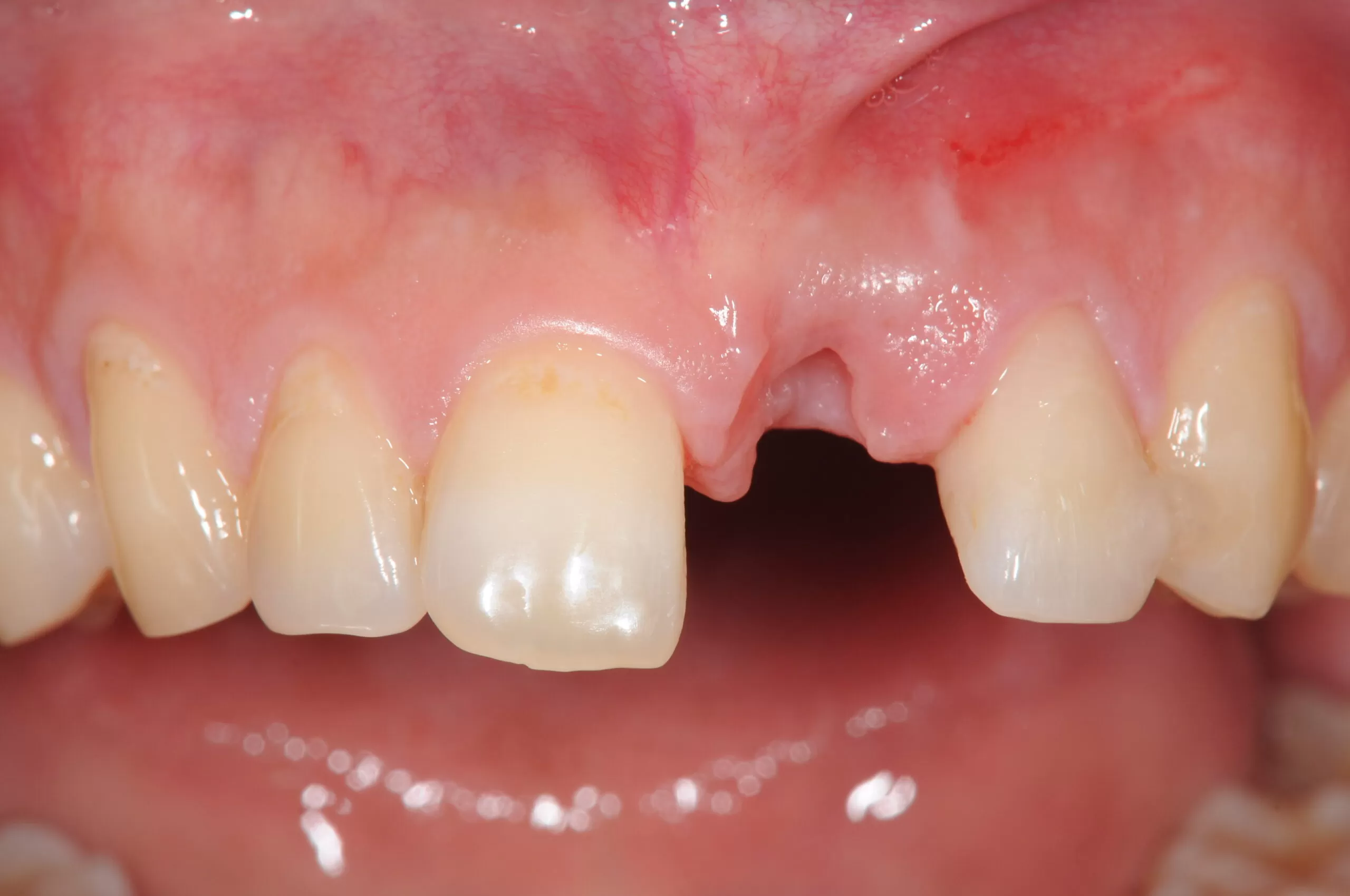
抜歯と同時にインプラントが入る「抜歯即時埋入」

一般的なインプラント手術では、抜歯後の傷口が治癒し、骨が安定した段階でインプラントを装着します。このため、「歯がない期間」が数ヶ月続き、患者さんはその間、不便を感じることがあります。

しかし、当院では歯を抜いた当日に、インプラントを入れることが可能です。この術式が「抜歯即時埋入」です。

抜歯即時埋入では、歯を抜いた穴に直接インプラントを埋め込みます。これにより、骨の造成や歯茎の切開が不要となります。来院回数が減らせるだけでなく、治療期間が短くなるというメリットもあります。

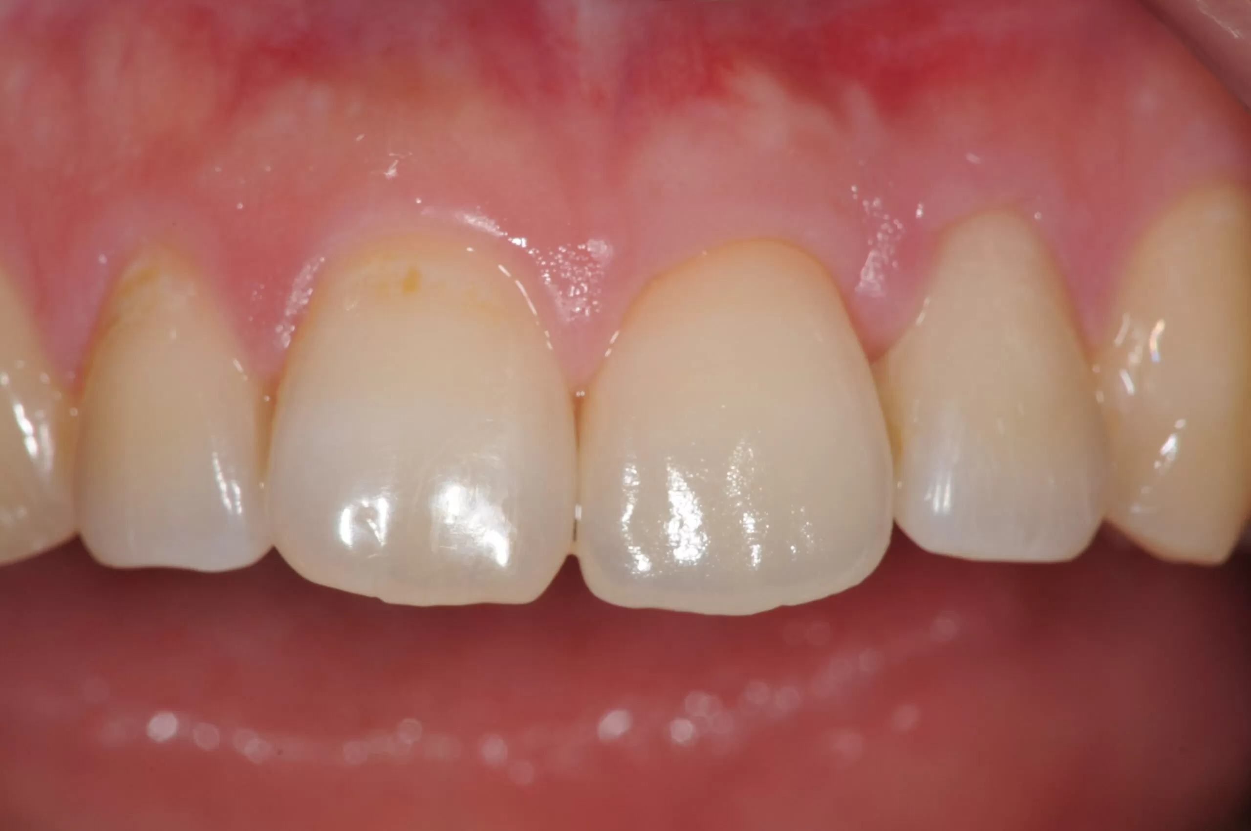
切開しない「フラップレス」手術

インプラント手術は通常、歯肉を切開して行います。そのため、術後には多少の痛みや腫れが避けられません。しかし、当院ではこれらのデメリットを軽減する「フラップレス」という手法を取り入れています。この方法では、「切らない・縫わない・腫れない」という特徴があります。

この手法では、メスを使用せずに「歯肉パンチ」と呼ばれる器具で歯肉に小さな穴を開け、その部分からインプラントを埋入します。

切開をしないため、術後の痛みや腫れ、出血のリスクが大幅に抑えられます。さらに、治療後の縫合や抜糸も必要ないため、患者さんへの負担が少なく済みます。

※状況によっては、切開が必要になる場合もあります。
一般的な術式
フラップレスインプラント
歯茎の切開
必要
不要
処置後の縫合
必要
不要
痛み
ある
少ない
腫れ
ある
少ない
処置時間
比較的長い
10分程度

他院でインプラント治療を断られた方へ

当院では、他の歯科医院でインプラント治療が難しいとされた患者さんもお受けしております。インプラントとは、あごの骨に土台を埋め込み、人工の歯を装着する治療法です。通常、あごの骨の量が十分でない場合には、インプラントの設置が困難とされます。

しかしながら、当院では「骨造成」という技術を用いて、あごの骨の量を増やすことで、こうした難しいケースにも対応できることがあります。他医院でインプラント治療を断られた方も、ぜひ一度当院にご相談ください。

具体的な骨造成の術式については、以下の方法があります。

GBR

GBR(骨再生誘導法)」は、骨が不足している部分に特殊な膜でスペースを確保し、骨補てん剤を入れて骨の再生を促す治療法です。時間の経過とともに新しい骨が形成され、インプラントをしっかりと支えられる状態になります。

サイナスリフト

上あごの奥歯の上には、上顎洞という空洞があります。上あごと上顎洞を隔てる骨が少ないと、インプラントを支えることができません。

サイナスリフトは、上あごを横から切開し、骨補てん剤を入れることでインプラントを支える土台を作る術式です。骨の量を大きく増やすことが可能です。

ソケットリフト

ソケットリフトは、抜歯後の穴から骨補てん剤を入れ、新たな骨を形成する術式です。サイナスリフトに比べて増やせる骨の量は少ないのですが、身体への負担が小さいというメリットがあります。

コラム

歯肉移植術

インプラント治療において、歯ぐきの厚みや量が不足している場合には、見た目の不自然さや清掃のしにくさから炎症を起こしやすくなることがあります。このような状況を改善するために、当院では歯肉移植術を提供しています。

歯肉移植術では、ご自身の口内から健康な歯ぐきを採取し、インプラントの周囲に移植します。これにより、インプラント周辺に丈夫で厚みのある歯肉が再現され、見た目も自然な仕上がりになります。また、細菌の侵入を防ぎやすくなるため、インプラントを長期にわたって安定して使用できるようになります。

信頼される世界のインプラントブランド

インプラントメーカーは、国内外に150〜200社以上あるとされています。当院では、多くの歯科医師から高い評価を受けている「ストローマン」「カムログ」などのインプラントを採用しています。

インプラントは長期間の使用を前提に埋入されます。可能であれば、生涯にわたって使用していただきたいと考えております。そのため、多くの歯科医師から信頼されているメーカーの製品を選んでいただくことをおすすめします。

ストローマン

ストローマンは、世界で最もシェアを持つインプラントメーカーです。このインプラント体は、日本人の口腔に適した比較的小さな設計が特徴です。また、スイス・ベルン大学の臨床研究によると、ストローマン社のインプラント手術の成功率は約97%と報告されています。これに加え、残存率が約98%というデータから、高い安全性と長寿命が期待できます。

カムログ

カムログ社は、ドイツで高いシェアを持つインプラントメーカーです。その特徴は、独自に開発された「Tube-in-Tube」接続構造によるもので、インプラント体と人工歯の連結部分が非常に安定しています。世界中の90カ国以上で使用され、歯科医師から多くの支持を得ています。

優れた歯科技工士との協力体制

当院には院内技工士は常駐しておりませんが、提携している歯科技工所が医院と同じビルに入っており、ほぼ「院内技工士」といえるほど密な連携体制を築いています。

この環境により、補綴物(被せ物や詰め物など)の製作において、歯科医師と技工士がリアルタイムで情報を共有し、細かな調整や要望にも迅速に対応することが可能です。

スピーディかつ高品質な補綴物の提供を両立することで、患者さんにとってより満足度の高い治療を実現しています。

「ガイドデント」による10年保証

当院では、歯科治療保証会社「ガイドデント」と提携し、患者さんのインプラントを手術日から10年間保証しています。インプラント(フィクスチャー)や上部構造(人工歯)も含めた保証内容で、安心して治療を受けていただけます。

ガイドデントの保証プランにはさまざまな特長があります。

■ 予期しない損傷や脱落に対する保証

一般的なインプラント治療の保証では、予測できない事故によるトラブルは対象外となることがあります。しかし、ガイドデントの保証では、偶発的な事故による損傷や脱落の場合でも、保証限度額に達するまで無償で保証・修復治療が行われます。

■ 引っ越し後も国内の加盟歯科医院でサポート

通常の保証制度では、治療を受けた歯科医院に限定されがちです。しかし、「ガイドデント」の保証では、全国のガイドデント加盟歯科医院で保証を受けられます。治療後に引っ越しがあっても、患者さんは安心してメンテナンスを継続できます。

当院のインプラント治療の流れ

STEP1カウンセリング

まずはじめに、患者さんとのカウンセリングを実施します。インプラント治療への期待や不安、疑問点をしっかりとお伺いします。どんなに小さなことでも、お気軽にご質問ください。このステップは、患者さんが安心して治療を受けられるようにするための大切なプロセスと考えています。

STEP2検査・診断

患者さんのお口の状態を正確に把握するため、CTやレントゲンを使用して精密な検査を行います。このプロセスで、抜歯即時荷重インプラントが可能かどうかを判断し、手術前に骨造成が必要かどうかも確認します。

もしインプラント治療が適さない場合には、別の治療法をご提案いたします。

STEP3治療方法の説明

検査の結果、インプラント治療が適応可能と判断された場合には、具体的な治療計画をしっかりとご説明いたします。この際、治療の利点やリスクについても患者さんに詳しくお伝えし、納得していただけるよう努めます。患者さん自身が治療を開始するかどうかを決定できるよう、必要なサポートを提供いたします。

疑問や不安がある場合は、お気軽にご質問ください。私たちは親身になってお答えいたします。

STEP4虫歯や歯周病の治療

虫歯や歯周病が見つかった場合、まずこれらの問題を治療し、お口の中の環境を整えます。こうすることで、インプラント治療の成功率が高まります

STEP5インプラント手術

インプラント体を埋め込む手術を行います。手術時間は内容によって異なりますが、通常1〜2本の場合は約1時間で終わることがあります。

抜歯即時荷重インプラントでは、手術当日に仮歯を装着することができます。

STEP6治癒期間

手術後は、インプラントと骨が結合するのを待つ必要があります。通常、この期間は1〜3ヶ月程度かかります。

STEP7上部構造の作製

インプラントと骨がしっかり結合した後、上部構造(人工歯)を取り付ける段階に進みます。これにより、自然な見た目と機能を実現します。その後、噛み合わせを丁寧に調整し、治療は完了となります。

STEP8定期的なメンテナンス

インプラントを長持ちさせるためには、定期的なメンテナンスが非常に重要です。インプラントは虫歯にならないものの、「インプラント周囲炎」という症状が発生する可能性があります。

このインプラント周囲炎が進行すると、インプラントが抜けるリスクが高まります。そのため、必ず定期メンテナンスを受けるようお願いしています。

担当医からのメッセージ

歯を失った際、多くの方がインプラントを思い浮かべます。それほどまでに、インプラントの知名度は向上しています。しかし、その最大のメリットについては、まだ十分に理解されていないことが多いようです。

インプラントの最大の長所は、部分入れ歯やブリッジとは異なり、健康な他の歯に負担を与えない点です。部分入れ歯やブリッジは構造上、他の歯を支えとして必要とし、その結果、咀嚼するたびに支える歯に負担がかかります。そのため、数年後には支えとなる歯の抜歯が必要になることもあります。

確かに、インプラントは保険が適用されず費用もかかり、外科的手術が必要です。しかし、残存する健康な歯を守る唯一の治療法であることを考慮すると、その価値は非常に大きいと言えるでしょう。治療法を選ぶ際には、この点も踏まえてご判断ください。

どのような治療を選ばれても、私たちは全力でサポートいたします。どうぞ安心して、お気軽にご相談ください。

インプラント治療の内容・費用・リスク・副作用

治療内容

歯を失った部位の状態(骨の量・厚み、噛み合わせ、全身状態など)を確認したうえで治療計画を立てます。
あごの骨にインプラント体(人工歯根)を埋め込む手術を行い、骨と結合するのを待った後、人工の歯(上部構造)を装着します。
治療後は定期的なメンテナンスを行い、噛み合わせやインプラント周囲の状態を管理していきます。

標準的な治療期間と回数

通常のインプラント治療(骨造成なし)
治療回数:5〜10回
治療期間:3か月〜6か月

骨造成を伴う場合
治療回数:6〜12回
治療期間:6か月〜1年
※骨の状態や全身状態により個人差があります。

費用

CT撮影料
¥10,000
インプラント診査料
¥20,000
インプラント基本手術料
¥250,000
アバットメント
¥70,000
プロビジョナル
¥30,000
GBR
¥100,000
ソケットリフト
¥70,000
粘膜移植術
¥50,000
抜歯即時埋入
¥10,000

リスク

  • 手術に伴い、腫れや痛み、出血が生じることがあります。
  • また、感染やインプラント周囲炎、神経損傷によるしびれ、骨との結合不良(脱落)などが起こる可能性があります。
  • メンテナンスが不十分な場合、インプラントの寿命が短くなることがあります。

副作用

  • 手術後に一時的な腫れ、内出血、違和感が生じることがあります。
  • まれに神経の近くに処置を行った場合、感覚の鈍さやしびれが残ることがあります。

初診「個別」相談へのご案内

当院では、患者さんが抱えていらっしゃるお口のお悩みや疑問・不安などにお応えする機会を設けております。どんなことでも構いませんので、私たちにお話ししていただけたらと思います。
ご興味がある方は下記からお問い合わせください。

ご予約・お問い合わせ

092-541-2781

24時間受付中WEB予約

〒815-0033
福岡県福岡市南区大橋2-12-13

西鉄電車「大橋」駅より8分

西鉄バス「東大橋」バス停より1分

駐車場10台(当院専用4台/
    指定コインパーキング6台)