症例集

092-541-2781

キービジュアル

カテゴリー:「ダイレクトボンディング」の記事一覧

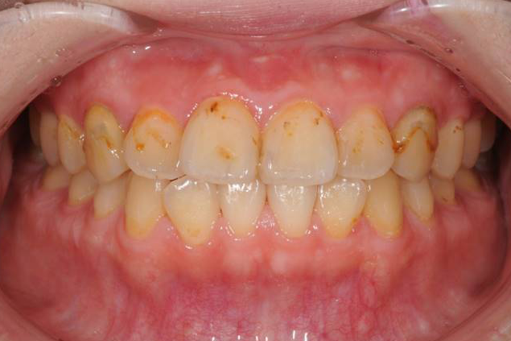
虫歯治療(40代)ダイレクトボンディング、セラミッククラウン

虫歯治療(40代)ダイレクトボンディング、セラミック…

年齢 48歳 性別 男性 初診日 2024年1月 主訴 虫歯治療 治療内容 ダイレクトボンディング、セラミッククラウン 治療期間 1ヶ月 治療費用 約26万 治療経過 メンテナンス中に左上にものが挟まる…

2024.10.2

歯の隙間を埋めたい(30代)ダイレクトボンディング

歯の隙間を埋めたい(30代)ダイレクトボンディング

年齢 30歳 性別 女性 初診日 2019年9月 主訴 審美障害 治療内容 ダイレクトボンディング 治療期間 2日 治療費用 66000円 ×2本 治療経過 歯の隙間を埋めたいという主訴で来院された。 空隙を埋める方法としては矯正治療と修復治療が選択できるが、今回の…

2023.2.26

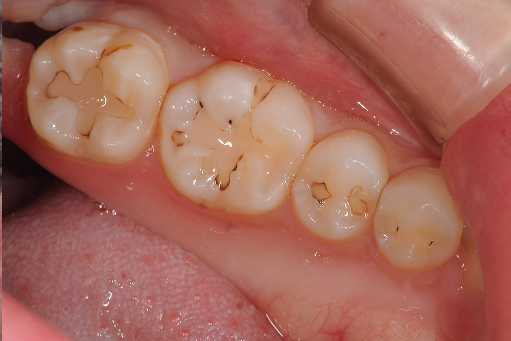
虫歯治療(40代)ダイレクトボンディング

虫歯治療(40代)ダイレクトボンディング

年齢 40歳 性別 男性 初診日 2022年12月 主訴 虫歯治療 治療内容 ダイレクトボンディング 治療期間 1日 治療費用 66000円 ×2本 治療経過 虫歯治療希望で来院された。 歯を削る範囲をできるだけ最小限に、また天然歯に近い構造を取り戻すために、歯に対…

2023.2.1

前歯を綺麗にしたい(20代)ホワイトニング ・ダイレクトボンディング

前歯を綺麗にしたい(20代)ホワイトニング・ダイレ…

年齢 26歳 性別 女性 初診日 2019年1月 主訴 前歯を綺麗にしたい 治療内容 ・ホワイトニング ・ダイレクトボンディング 治療期間 1ヶ月 治療費用 約40万円 治療経過 前歯を綺麗にしたいとのことで来院された。 クリーニングとホワイトニングを施した後に、古…

2022.4.28

虫歯治療(30代)ダイレクトボンディング

虫歯治療(30代)ダイレクトボンディング

年齢 35歳 性別 女性 初診日 2018年4月 主訴 虫歯治療 治療内容 ダイレクトボンディング 治療期間 1日 治療費用 66000円 治療経過 虫歯治療希望で来院された。 歯を削る範囲をできるだけ最小限に、また天然歯に近い構造を取り戻すために、歯に対して接着力…

2022.4.28

虫歯治療(20代)ダイレクトボンディング

虫歯治療(20代)ダイレクトボンディング

年齢 29歳 性別 女性 初診日 2017年2月 主訴 虫歯治療 治療内容 ダイレクトボンディング 治療期間 1日 治療費用 66000円 ×2本 治療経過 メンテナンス来院時に下顎臼歯部に虫歯が認められ治療介入となった。 極力歯を削らずに済むダイレクトボンディング…

2022.4.28

前歯をセラミックでやり変えたい(40代)セラミック修復、ダイレクトボンディング

前歯をセラミックでやり変えたい(40代)セラミック修…

年齢 43歳 性別 女性 初診日 2019年8月 主訴 審美障害 治療内容 セラミック修復、ダイレクトボンディング 治療期間 2ヶ月 治療費用 約30万 治療経過 前歯の保険のクラウンをセラミックでやり変えたいとのことで来院された。 隣接する歯にも不適合な修復物があ…

2022.4.20

初診「個別」相談へのご案内

当院では、患者さんが抱えていらっしゃるお口のお悩みや疑問・不安などにお応えする機会を設けております。どんなことでも構いませんので、私たちにお話ししていただけたらと思います。
ご興味がある方は下記からお問い合わせください。

ご予約・お問い合わせ

092-541-2781

24時間受付中WEB予約

〒815-0033
福岡県福岡市南区大橋2-12-13

西鉄電車「大橋」駅より8分

西鉄バス「東大橋」バス停より1分

駐車場10台(当院専用4台/
    指定コインパーキング6台)