| 年齢 | 35歳 |
|---|---|
| 性別 | 女性 |
| 初診日 | 2018年4月 |
| 主訴 | 虫歯治療 |
| 治療内容 | ダイレクトボンディング |
| 治療期間 | 1日 |
| 治療費用 | 66000円 |
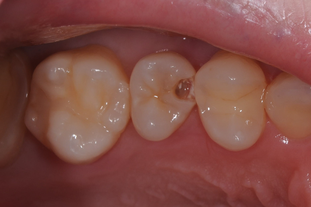
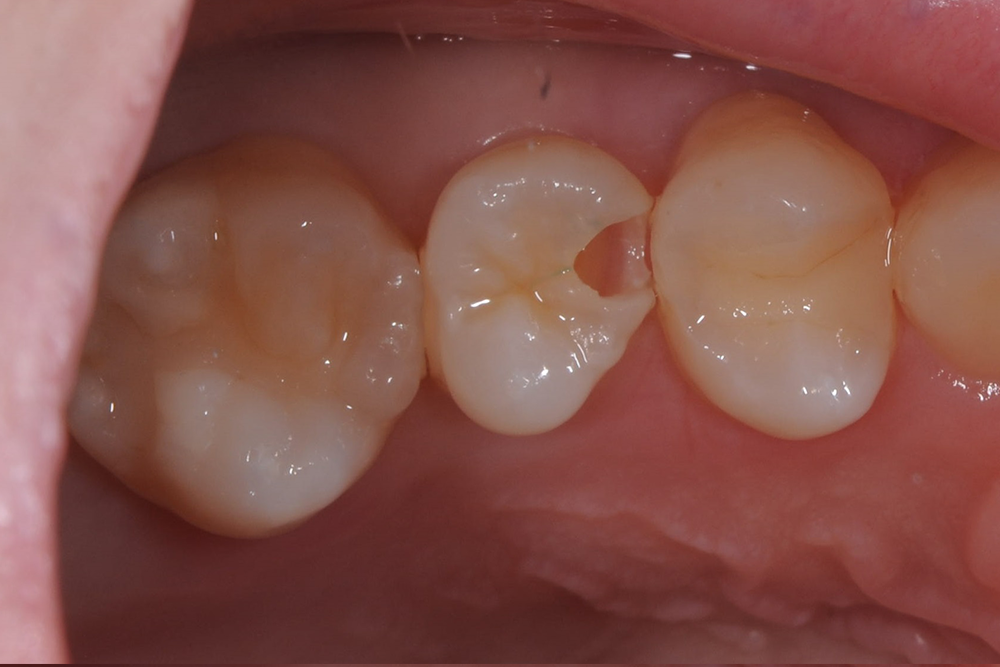
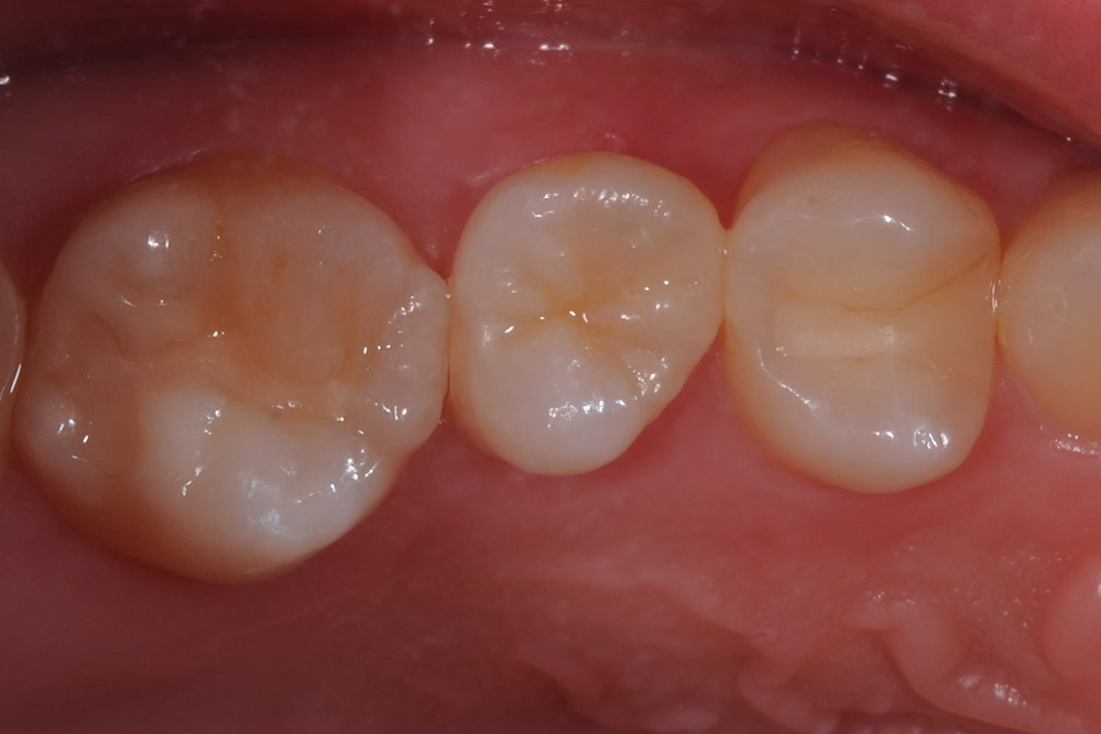
| 治療経過 | 虫歯治療希望で来院された。 歯を削る範囲をできるだけ最小限に、また天然歯に近い構造を取り戻すために、歯に対して接着力が高く、虫歯になりにくくて清掃性の高い材料を選択し、ダイレクトボンディングにて治療を行った。 |
| リスク・副作用について |
|






2022年4月28日
| 年齢 | 35歳 |
|---|---|
| 性別 | 女性 |
| 初診日 | 2018年4月 |
| 主訴 | 虫歯治療 |
| 治療内容 | ダイレクトボンディング |
| 治療期間 | 1日 |
| 治療費用 | 66000円 |
| 治療経過 | 虫歯治療希望で来院された。 歯を削る範囲をできるだけ最小限に、また天然歯に近い構造を取り戻すために、歯に対して接着力が高く、虫歯になりにくくて清掃性の高い材料を選択し、ダイレクトボンディングにて治療を行った。 |
| リスク・副作用について |
|






当院では、患者さんが抱えていらっしゃるお口のお悩みや疑問・不安などにお応えする機会を設けております。どんなことでも構いませんので、私たちにお話ししていただけたらと思います。
ご興味がある方は下記からお問い合わせください。