| 年齢 | 48歳 |
|---|---|
| 性別 | 男性 |
| 初診日 | 2024年1月 |
| 主訴 | 虫歯治療 |
| 治療内容 | ダイレクトボンディング、セラミッククラウン |
| 治療期間 | 1ヶ月 |
| 治療費用 | 約26万 |
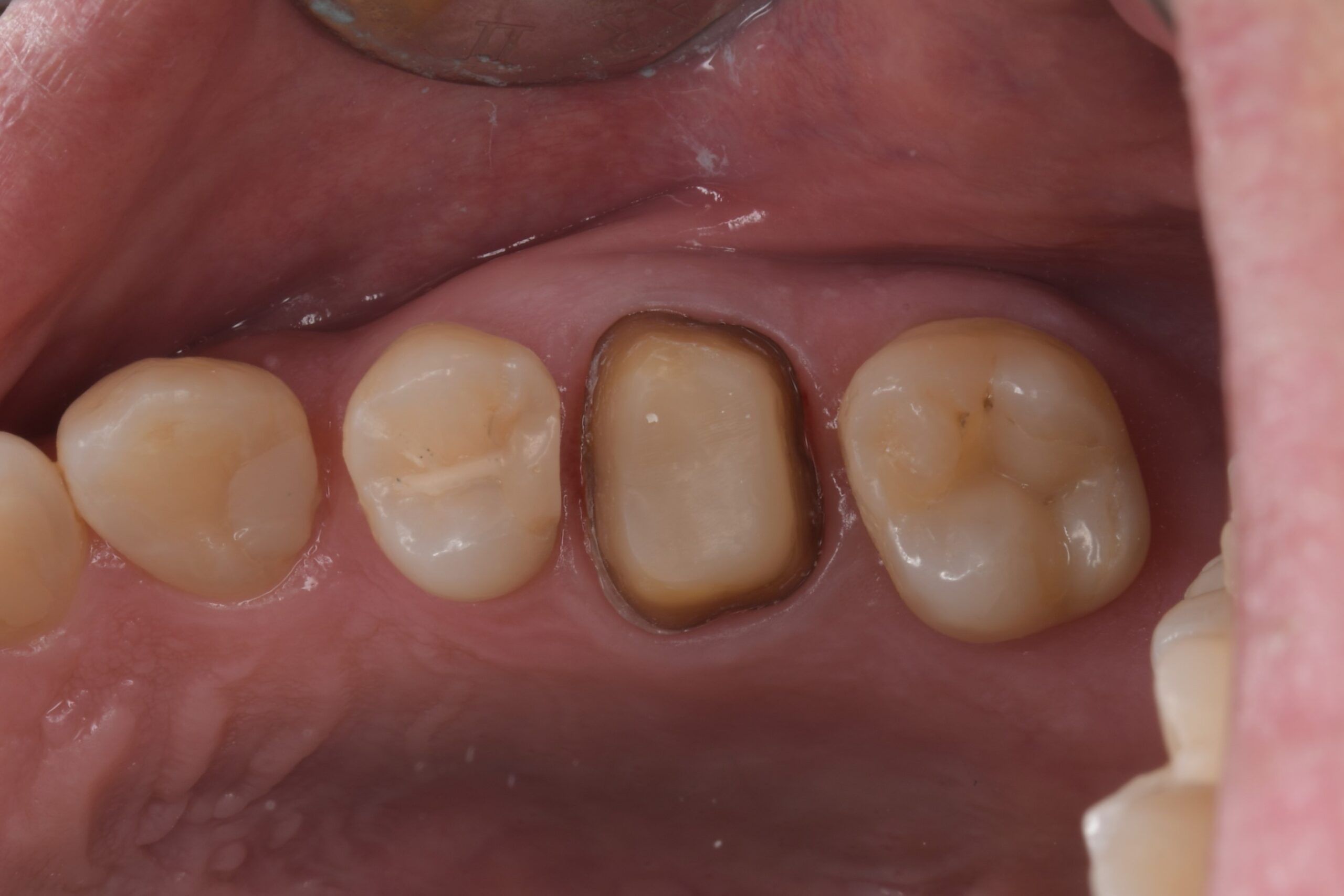
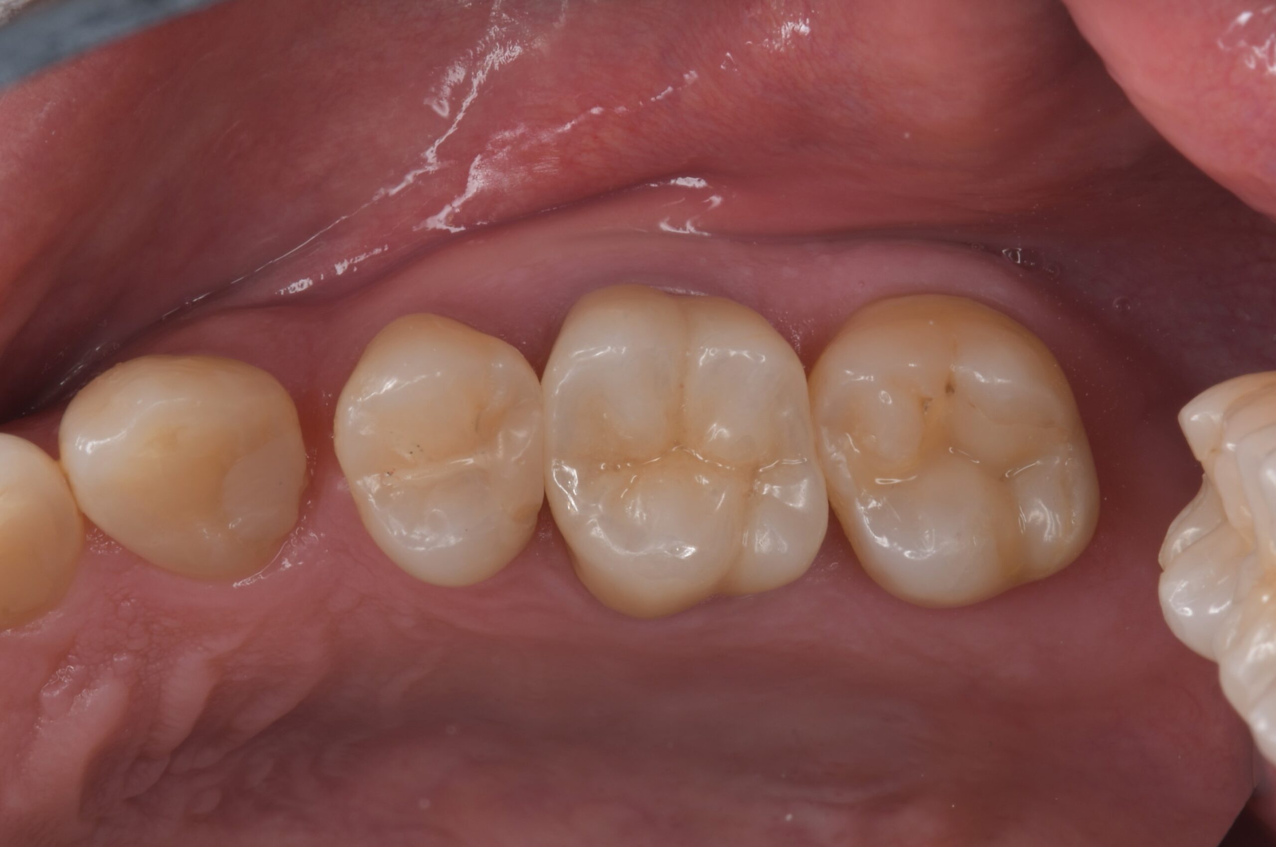
| 治療経過 | メンテナンス中に左上にものが挟まるとのことで治療介入となった。 左上の一番奥の大臼歯の側面に虫歯が確認されたが、虫歯を除去するには上から健康な部分を削ってアプローチする必要が出てくる。 そのため、一つ手前の状態の悪い銀歯を外すことで一番奥の虫歯に側面からアプローチでき、かつ健康な歯質を温存できることを説明し、奥歯二本の治療を行うこととした。 一番奥に関しては虫歯の部分のみ削ってセラミック系の樹脂を埋めるダイレクトボンディングにて、 奥から二番目に関しては内部の金属の補強を外すと虫歯になっていたため、根管治療を行った上でセラミッククラウンで対応することとした。 |
| リスク・副作用について |
|













