| 年齢 | 20歳 |
|---|---|
| 性別 | 男性 |
| 初診日 | 2016年7月 |
| 主訴 | 前歯に歯を入れたい |
| 治療内容 | 接着性ブリッジ |
| 治療期間 | 3ヶ月 |
| 治療費用 | 約60万円 |
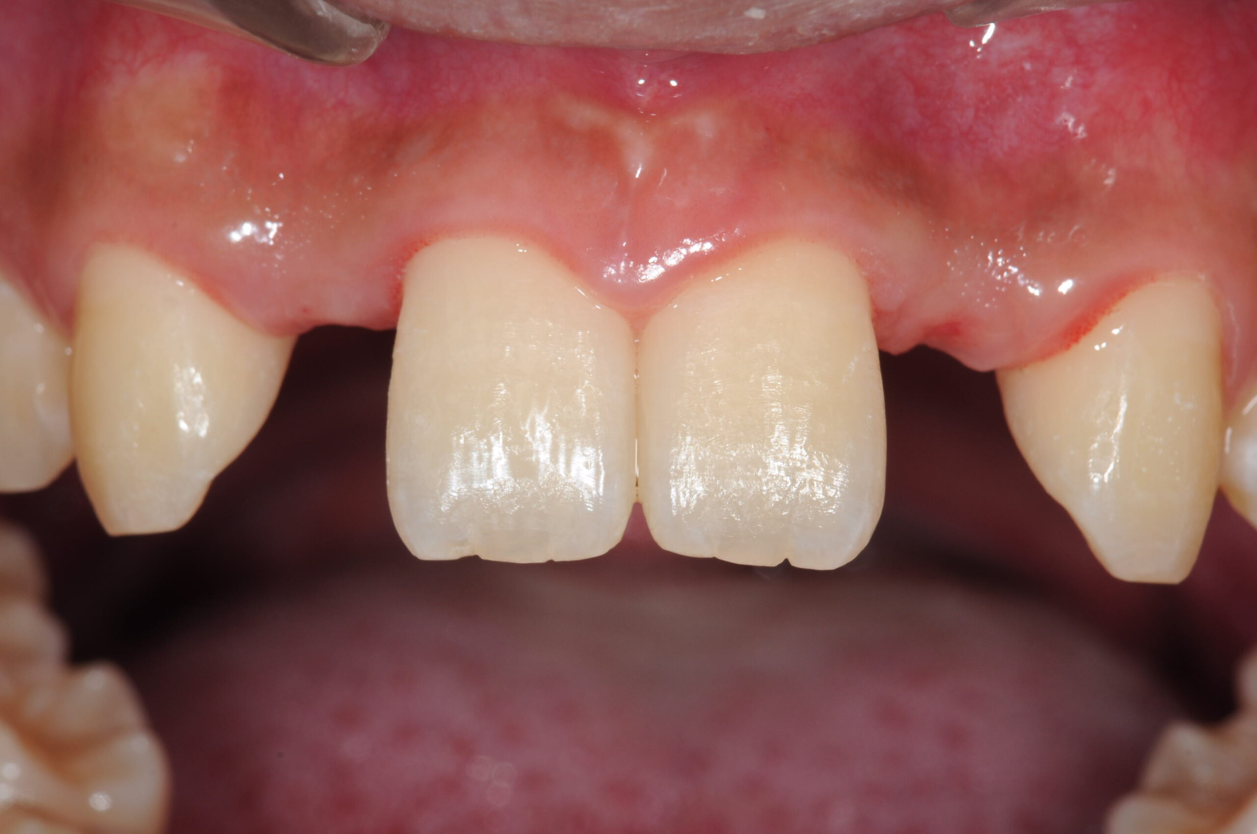
| 治療経過 | 矯正医からの依頼で、先天的に欠損した上顎の両側側切歯に歯を入れて欲しいとのことで来院された。 第一選択肢としてはインプラントだが、年齢的にも若く、インプラントオペの難易度も低い症例ではなかったため、一旦仮歯を接着した後に、歯の切削をほとんど必要としないセラミックによる接着性ブリッジにて修復した。 |
| リスク・副作用について |
|






2022年4月28日
| 年齢 | 20歳 |
|---|---|
| 性別 | 男性 |
| 初診日 | 2016年7月 |
| 主訴 | 前歯に歯を入れたい |
| 治療内容 | 接着性ブリッジ |
| 治療期間 | 3ヶ月 |
| 治療費用 | 約60万円 |
| 治療経過 | 矯正医からの依頼で、先天的に欠損した上顎の両側側切歯に歯を入れて欲しいとのことで来院された。 第一選択肢としてはインプラントだが、年齢的にも若く、インプラントオペの難易度も低い症例ではなかったため、一旦仮歯を接着した後に、歯の切削をほとんど必要としないセラミックによる接着性ブリッジにて修復した。 |
| リスク・副作用について |
|






当院では、患者さんが抱えていらっしゃるお口のお悩みや疑問・不安などにお応えする機会を設けております。どんなことでも構いませんので、私たちにお話ししていただけたらと思います。
ご興味がある方は下記からお問い合わせください。