| 年齢 | 30歳 |
|---|---|
| 性別 | 女性 |
| 初診日 | 2024年6月 |
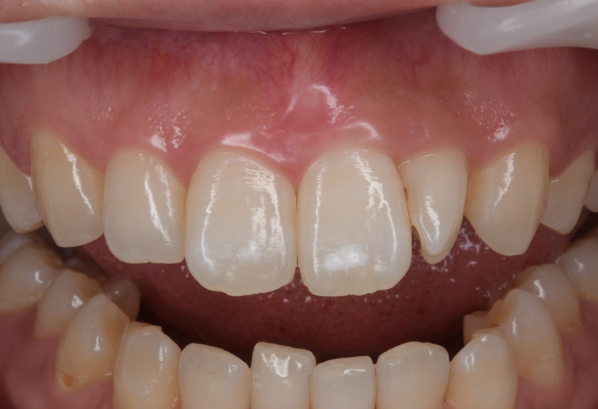
| 主訴 | 歯の白濁 |
| 治療内容 | アイコン |
| 治療期間 | 2回 |
| 治療費用 | 1歯に対し1回2万円 |
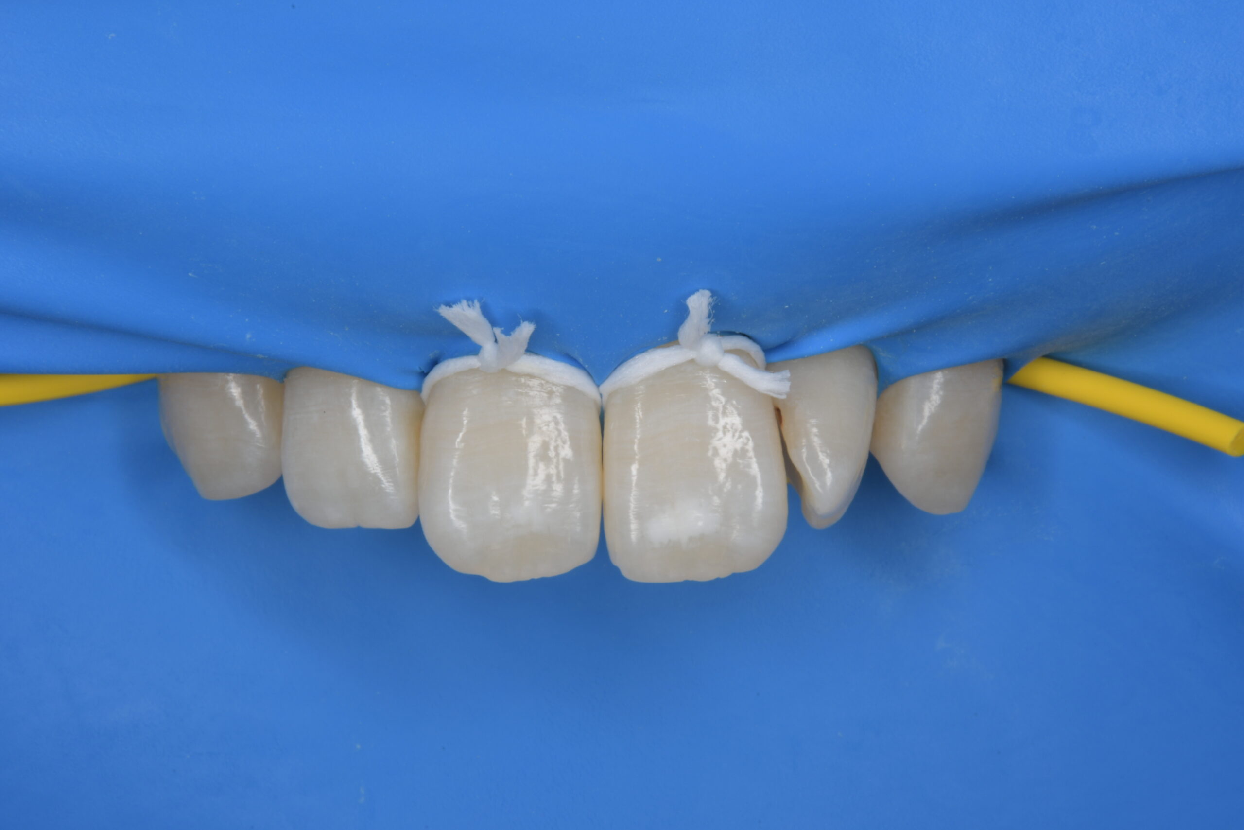
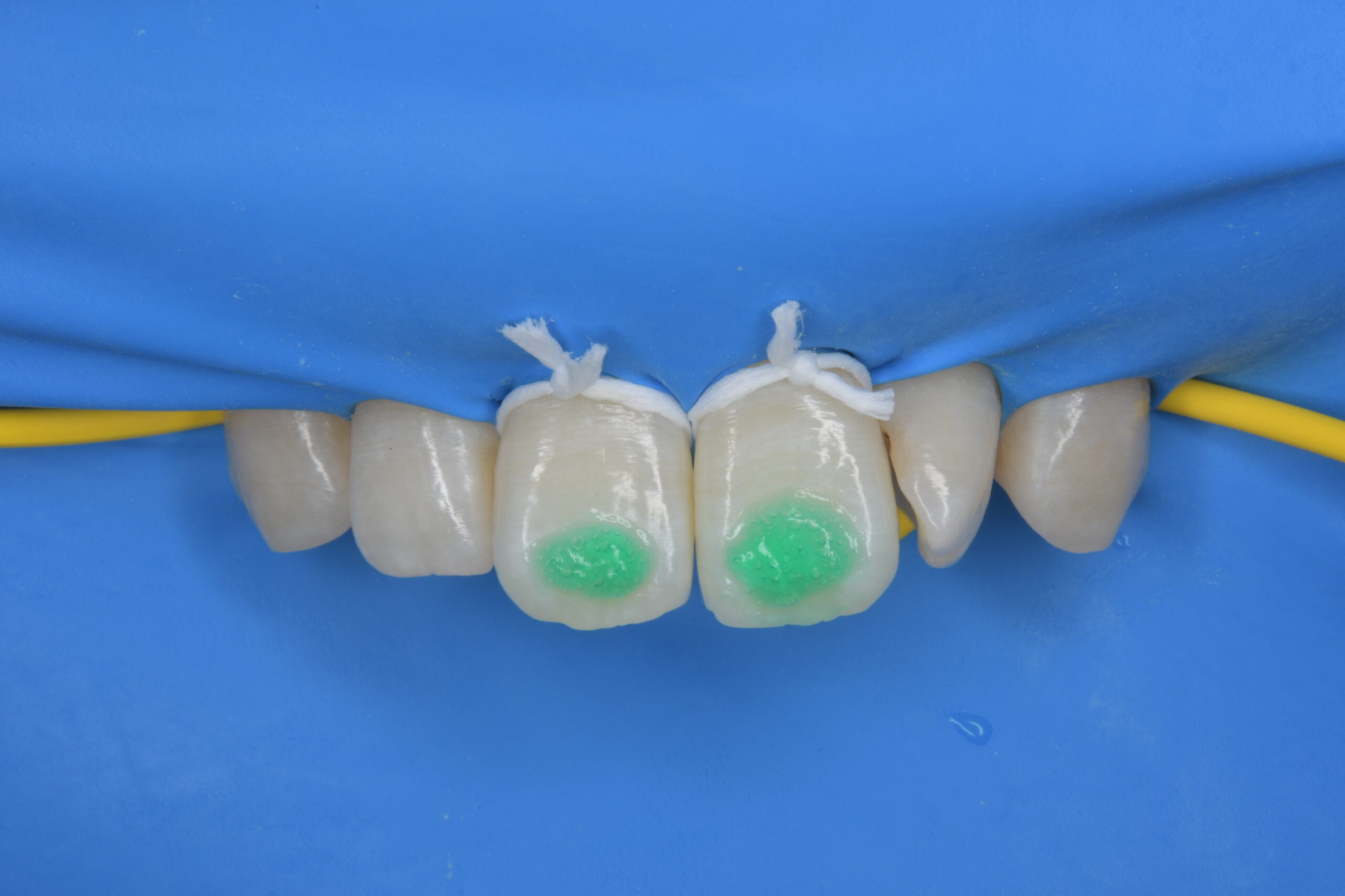
| 治療経過 | 虫歯の治療中に前歯の白濁が気になっているとの訴えがあった。 歯の白斑は初期の虫歯によってできるものと、永久歯が形成される段階で先天的にできるものに分類されるが、今回は後者のものと診断した。 白斑部を削って埋める方法もあるが、今回は歯を削らずに薬剤を用いて改善を促すアイコンという治療法を選択した。 刺激性のある薬剤であるため、処置にはラバーダムを使用し、患部以外に薬剤が付着しないよう注意して行う必要がある。 右上中切歯は1回、左上は2回の施術で白斑はほぼ消失し、患者様にも満足していただけた。 |
| リスク・副作用について |
|









