被せ物が外れた(60代)インプラント・セ…

092-541-2781

キービジュアル

被せ物が外れた(60代)インプラント・セラミック修復

2023年2月3日

年齢 62歳
性別 男性
初診日 2019年11月
主訴 被せ物が外れた
治療内容 ・インプラント
・セラミック修復
治療期間 8ヶ月
治療費用 250万円
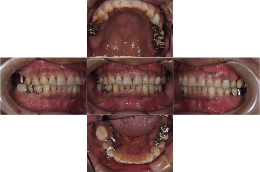
治療経過 主訴は被せ物の脱離であったが、診査の結果、現状抜歯を余儀なくされる歯も見受けられた。
患者様は現在使用している義歯にも満足しておらず固定式でしっかり噛めるようになりたいとの希望もあったためインプラント治療を提案した。
天然歯は全体的にかなりすり減りが認められるため、セラミックの材質についても周りの歯の形態に馴染むものを選択した。
抜歯とインプラントのタイミングを計画的に行うことで、治療期間も短く治療を終えることができた。
リスク・副作用について
  • セラミックはかみ合わせや歯ぎしりが強い方は割れる可能性があります。
  • 経年的に劣化(摩耗)してくる可能性があります。
  • インプラント術後に腫れや痛み、違和感が出る場合があります。
  • 定期的なメンテナンスを怠ったり、喫煙をされる場合、インプラント周囲炎(歯周病)を引き起こす可能性があります。

初診「個別」相談へのご案内

当院では、患者さんが抱えていらっしゃるお口のお悩みや疑問・不安などにお応えする機会を設けております。どんなことでも構いませんので、私たちにお話ししていただけたらと思います。
ご興味がある方は下記からお問い合わせください。

ご予約・お問い合わせ

092-541-2781

24時間受付中WEB予約

〒815-0033
福岡県福岡市南区大橋2-12-13

西鉄電車「大橋」駅より8分

西鉄バス「東大橋」バス停より1分

駐車場10台(当院専用4台/
    指定コインパーキング6台)