| 年齢 | 29歳 |
|---|---|
| 性別 | 女性 |
| 初診日 | 2017年2月 |
| 主訴 | 虫歯治療 |
| 治療内容 | ダイレクトボンディング |
| 治療期間 | 1日 |
| 治療費用 | 66000円 ×2本 |
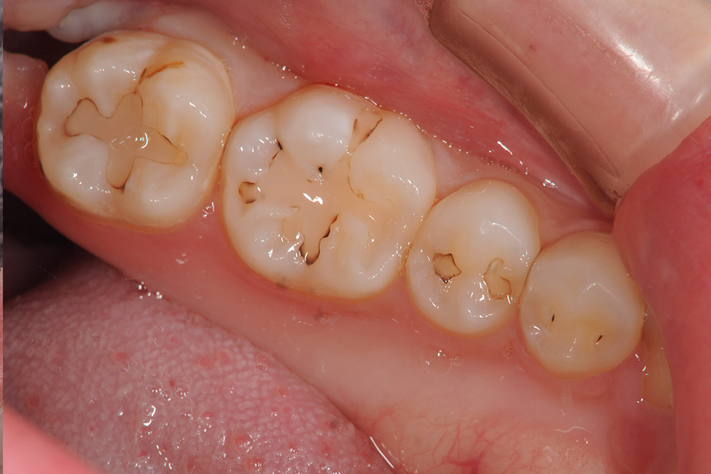
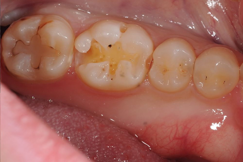
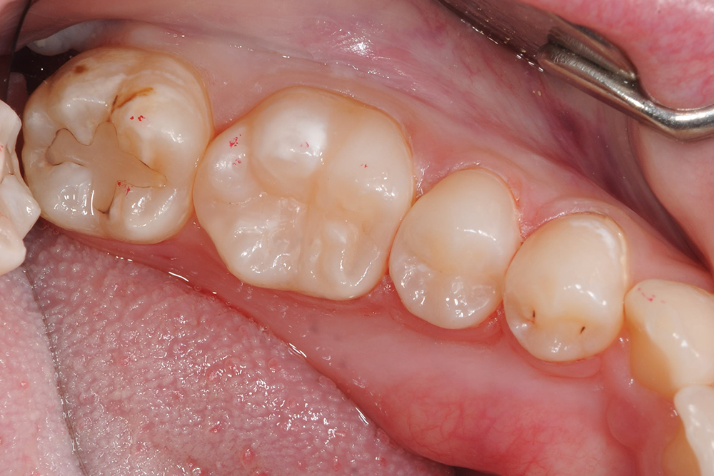
| 治療経過 | メンテナンス来院時に下顎臼歯部に虫歯が認められ治療介入となった。 極力歯を削らずに済むダイレクトボンディングにて、審美的かつ機能的な治療結果を得ることができた。 |
| リスク・副作用について |
|





2022年4月28日
| 年齢 | 29歳 |
|---|---|
| 性別 | 女性 |
| 初診日 | 2017年2月 |
| 主訴 | 虫歯治療 |
| 治療内容 | ダイレクトボンディング |
| 治療期間 | 1日 |
| 治療費用 | 66000円 ×2本 |
| 治療経過 | メンテナンス来院時に下顎臼歯部に虫歯が認められ治療介入となった。 極力歯を削らずに済むダイレクトボンディングにて、審美的かつ機能的な治療結果を得ることができた。 |
| リスク・副作用について |
|





当院では、患者さんが抱えていらっしゃるお口のお悩みや疑問・不安などにお応えする機会を設けております。どんなことでも構いませんので、私たちにお話ししていただけたらと思います。
ご興味がある方は下記からお問い合わせください。