| 年齢 | 51歳 |
|---|---|
| 性別 | 女性 |
| 初診日 | 2021年2月 |
| 主訴 | 虫歯治療 |
| 治療内容 | セラミックインレー |
| 治療期間 | 2日 |
| 治療費用 | 77000円 ×3本 |
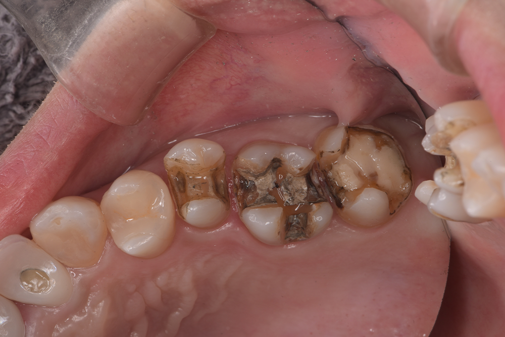
| 治療経過 | 銀歯の隙間にフロスが引っかかるとのことで治療介入となった。 銀歯の下は全て虫歯になっており、今後虫歯のリスクを軽減させることを目的として、歯への接着力、清掃性に優れたセラミックを用いた修復方法を選択した。 |
| リスク・副作用について |
|






2022年4月28日
| 年齢 | 51歳 |
|---|---|
| 性別 | 女性 |
| 初診日 | 2021年2月 |
| 主訴 | 虫歯治療 |
| 治療内容 | セラミックインレー |
| 治療期間 | 2日 |
| 治療費用 | 77000円 ×3本 |
| 治療経過 | 銀歯の隙間にフロスが引っかかるとのことで治療介入となった。 銀歯の下は全て虫歯になっており、今後虫歯のリスクを軽減させることを目的として、歯への接着力、清掃性に優れたセラミックを用いた修復方法を選択した。 |
| リスク・副作用について |
|






当院では、患者さんが抱えていらっしゃるお口のお悩みや疑問・不安などにお応えする機会を設けております。どんなことでも構いませんので、私たちにお話ししていただけたらと思います。
ご興味がある方は下記からお問い合わせください。