歯の隙間を埋めたい(30代)ダイレクトボ…

092-541-2781

キービジュアル

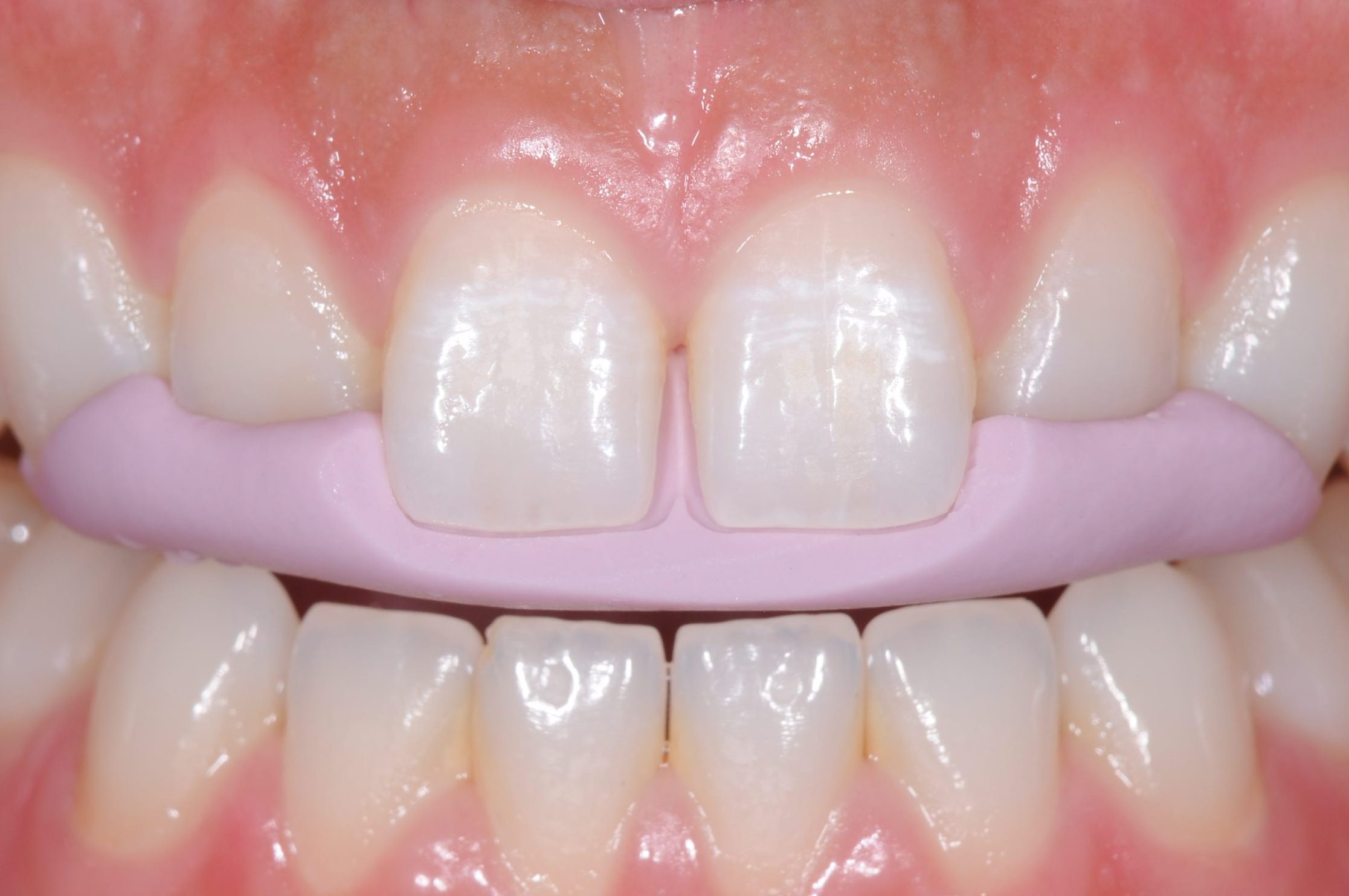
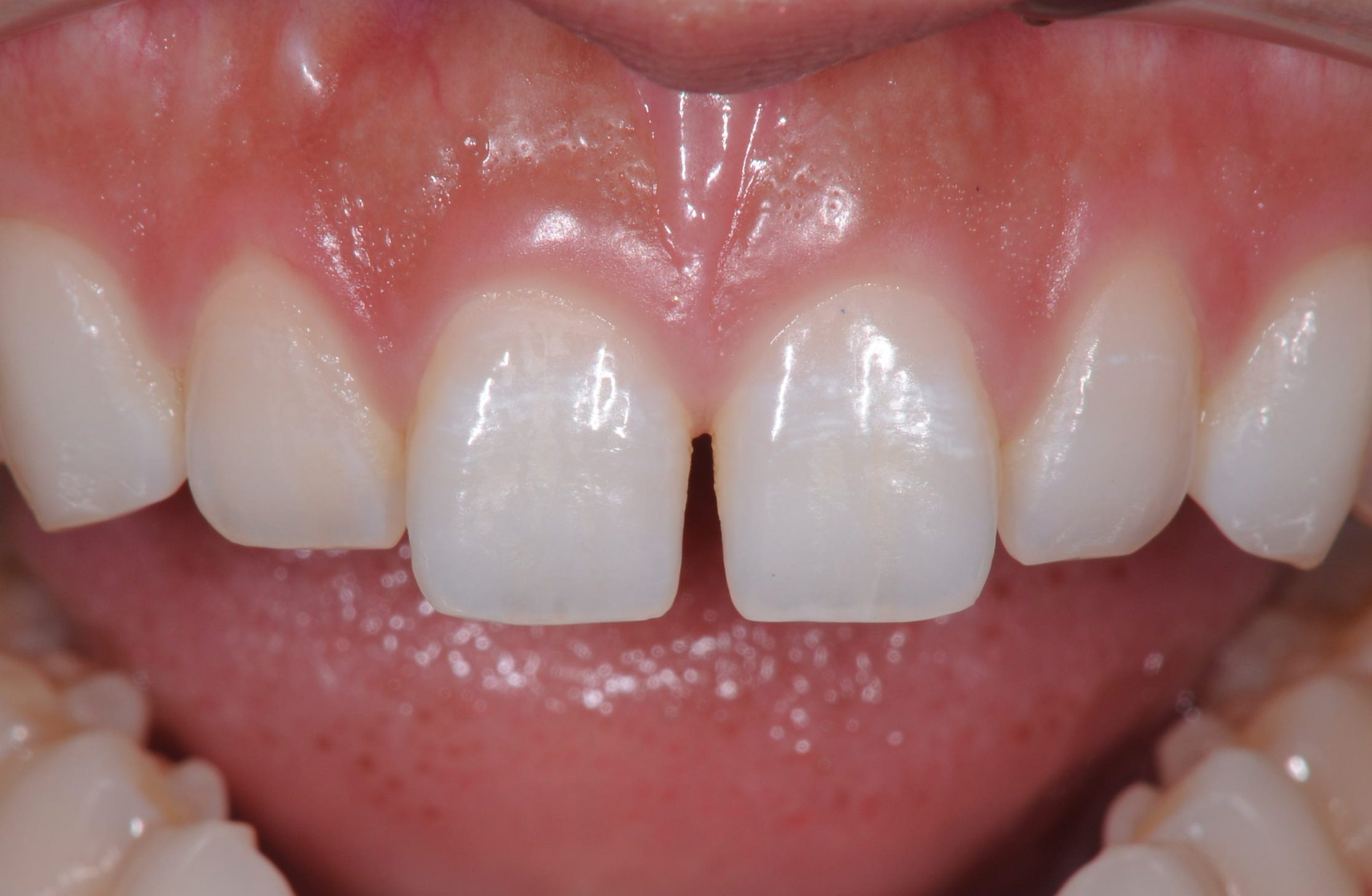
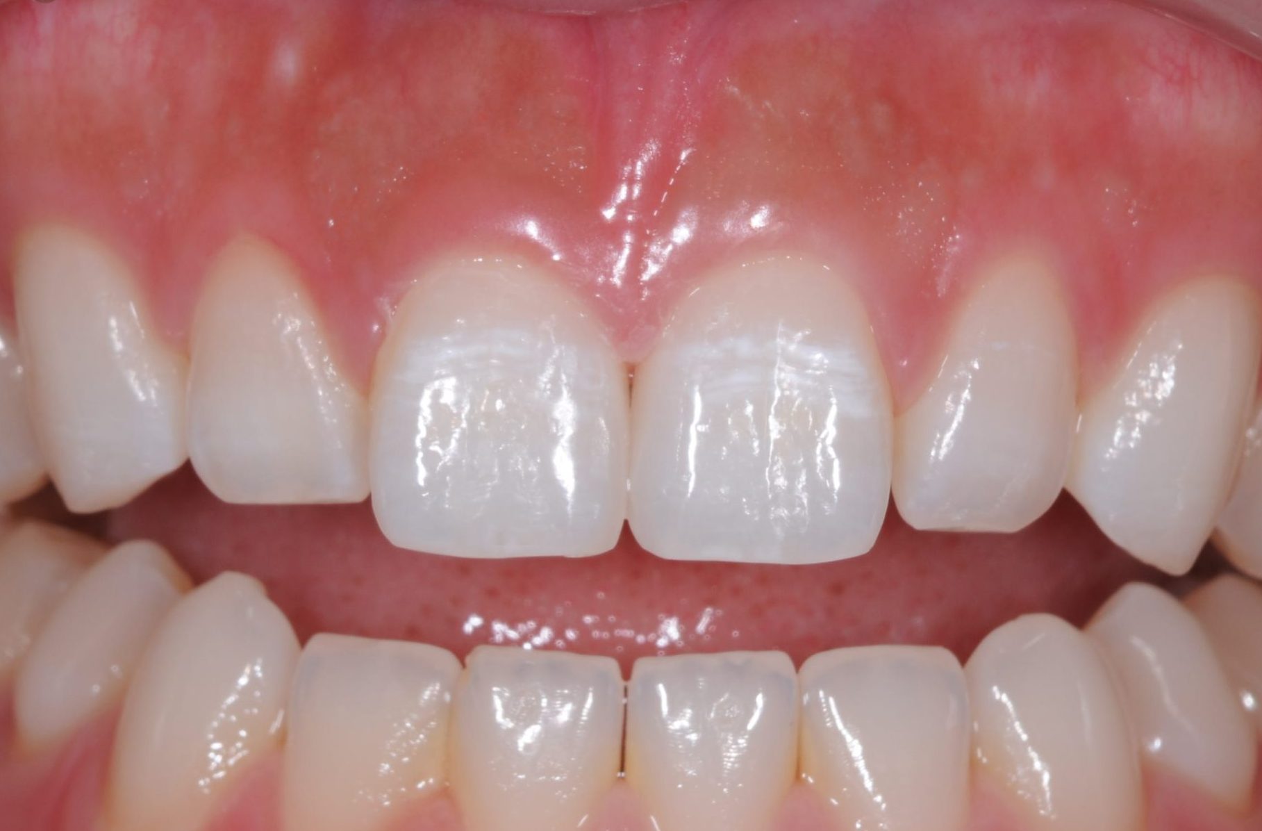
歯の隙間を埋めたい(30代)ダイレクトボンディング

2023年2月26日

年齢 30歳
性別 女性
初診日 2019年9月
主訴 審美障害
治療内容 ダイレクトボンディング
治療期間 2日
治療費用 66000円 ×2本
治療経過 歯の隙間を埋めたいという主訴で来院された。
空隙を埋める方法としては矯正治療と修復治療が選択できるが、今回のケースは修復治療の適応であることを説明し治療介入とした。
初回は歯型を採り、模型上でシミュレーションガイドを作成し、第二回目の来院時に修復処置を行なった。
別日に最終研磨を行い処置を終了した。
歯を全く削る必要のない、低侵襲かつ短期間で治療を終えることができる審美修復治療である。
リスク・副作用について
  • かみ合わせや歯ぎしりが強い方は割れる可能性があります。
  • 経年的に劣化(変色)してくる可能性があります。

初診「個別」相談へのご案内

当院では、患者さんが抱えていらっしゃるお口のお悩みや疑問・不安などにお応えする機会を設けております。どんなことでも構いませんので、私たちにお話ししていただけたらと思います。
ご興味がある方は下記からお問い合わせください。

ご予約・お問い合わせ

092-541-2781

24時間受付中WEB予約

〒815-0033
福岡県福岡市南区大橋2-12-13

西鉄電車「大橋」駅より8分

西鉄バス「東大橋」バス停より1分

駐車場10台(当院専用4台/
    指定コインパーキング6台)