| 年齢 | 42歳 |
|---|---|
| 性別 | 女性 |
| 初診日 | 2024年6月 |
| 主訴 | 虫歯治療 |
| 治療内容 | セラミック治療 |
| 治療期間 | 2日 |
| 治療費用 | 143000円 |
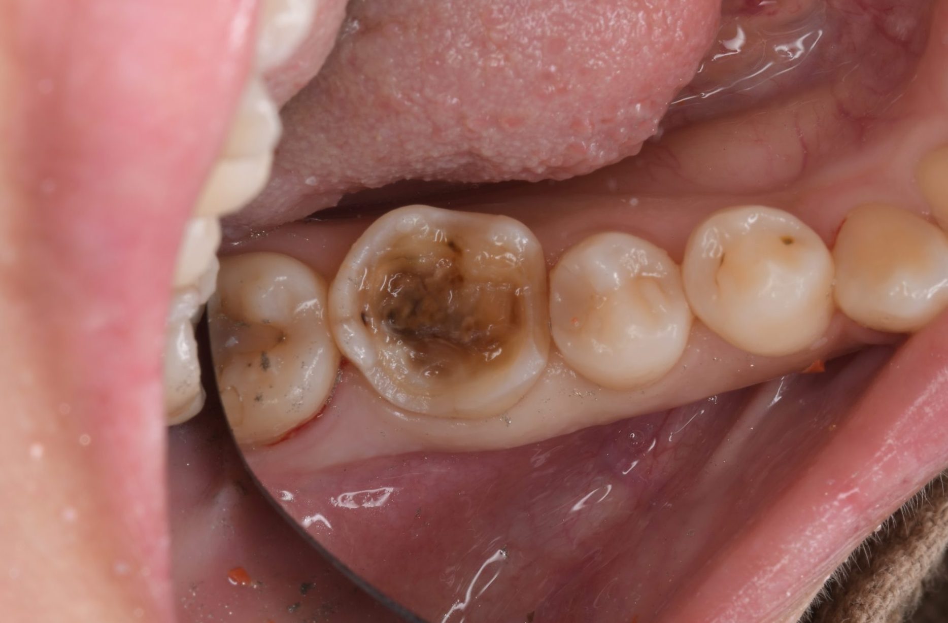
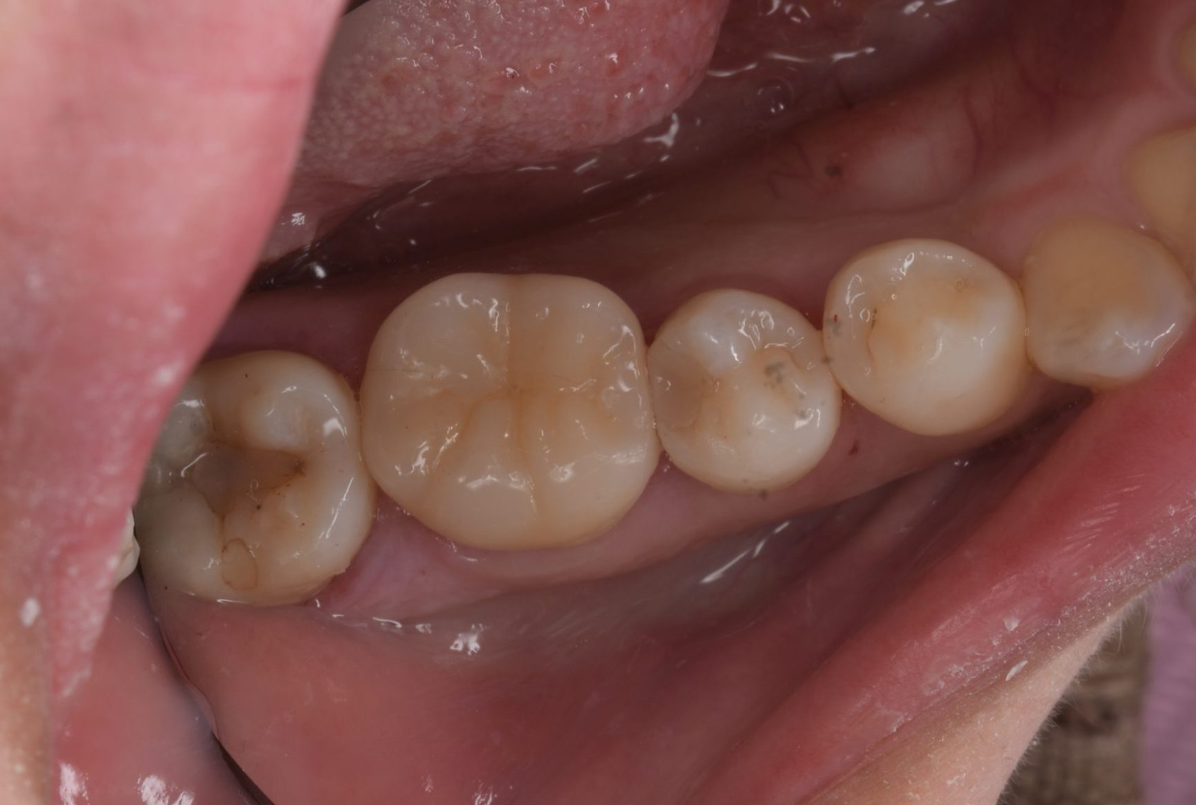
| 治療経過 | メンテナンス来院時に右下がしみるとの訴えがあった。 確認したところ右下大臼歯の銀歯の境目から歯がかけており、二次う蝕の可能性を考えて治療介入となった。 銀歯は歯と化学的に接着できないため、外す虫歯が再発が認めることがほとんどである。 今回は再発のリスクを減らすためにセラミックによる修復を希望された。 脆弱な歯質は削合し、噛み合わせの面を全てセラミックで被覆するテーブルトップベニアを選択した。 セラミックの歯型採りは、現在コンピューターによるデジタルスキャンにて行うようになり、治療精度も一段と向上している。 |
| リスク・副作用について |
|











