虫歯治療(40代)セラミック修復

092-541-2781

キービジュアル

虫歯治療(40代)セラミック修復

2022年4月20日

年齢 44歳
性別 女性
初診日 2020年12月
主訴 虫歯治療
治療内容 セラミック修復
治療期間 7ヶ月
治療費用 約70万円
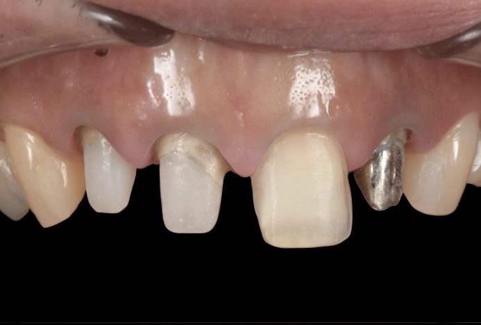
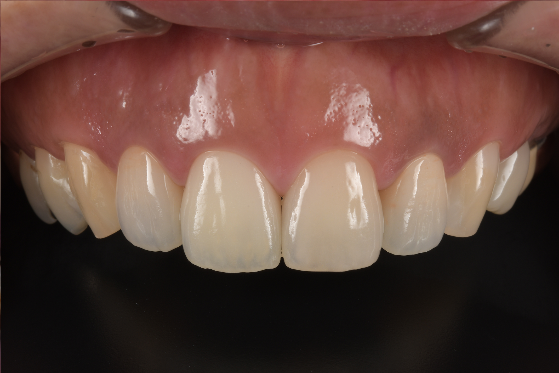
治療経過 全体的に虫歯が多発しており、全部治したいとのことで来院された。
前歯に関しては費用がかかっても綺麗に治したいとの要望があり、小さな修復物についてはダイレクトボンディング、クラウンはセラミックにて修復することとした。
左上中切歯はダイレクトでもよかったが、左右の微妙な幅の違いや歯の質感に統一感を出すためにラミネートベニアを選択した。
リスク・副作用について
  • かみ合わせや歯ぎしりが強い方は割れる可能性があります。
  • 経年的に劣化(摩耗)してくる可能性があります。

初診「個別」相談へのご案内

当院では、患者さんが抱えていらっしゃるお口のお悩みや疑問・不安などにお応えする機会を設けております。どんなことでも構いませんので、私たちにお話ししていただけたらと思います。
ご興味がある方は下記からお問い合わせください。

ご予約・お問い合わせ

092-541-2781

24時間受付中WEB予約

〒815-0033
福岡県福岡市南区大橋2-12-13

西鉄電車「大橋」駅より8分

西鉄バス「東大橋」バス停より1分

駐車場10台(当院専用4台/
    指定コインパーキング6台)