前歯を綺麗にしたい(20代)セラミック修…

092-541-2781

キービジュアル

前歯を綺麗にしたい(20代)セラミック修復

2022年4月20日

年齢 26歳
性別 女性
初診日 2020年8月
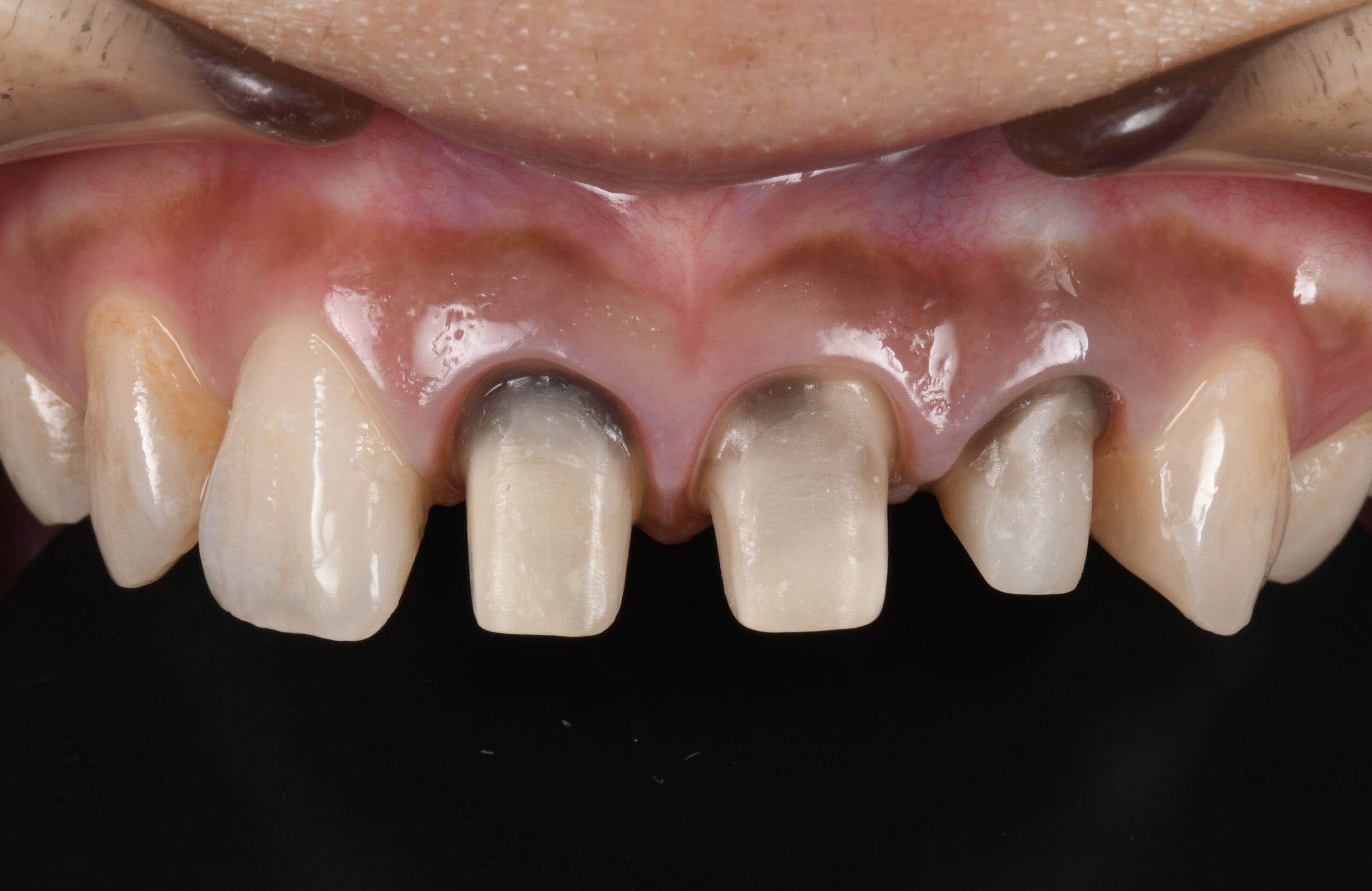
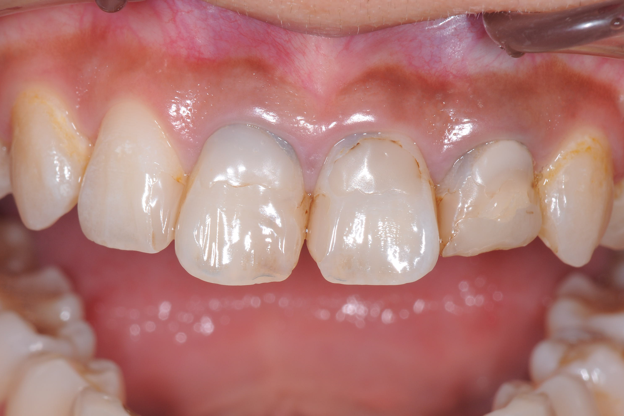
主訴 前歯を綺麗にしたい
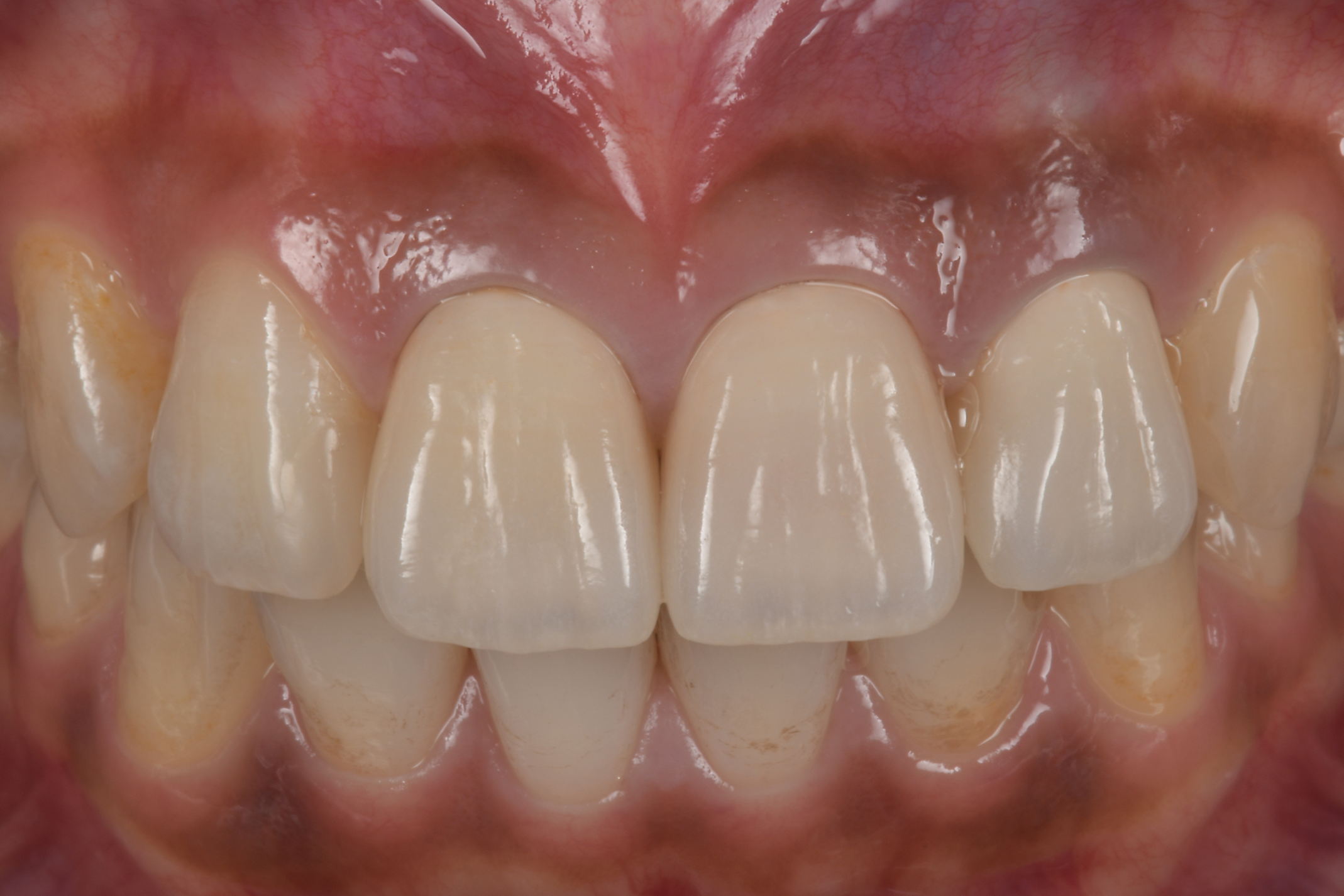
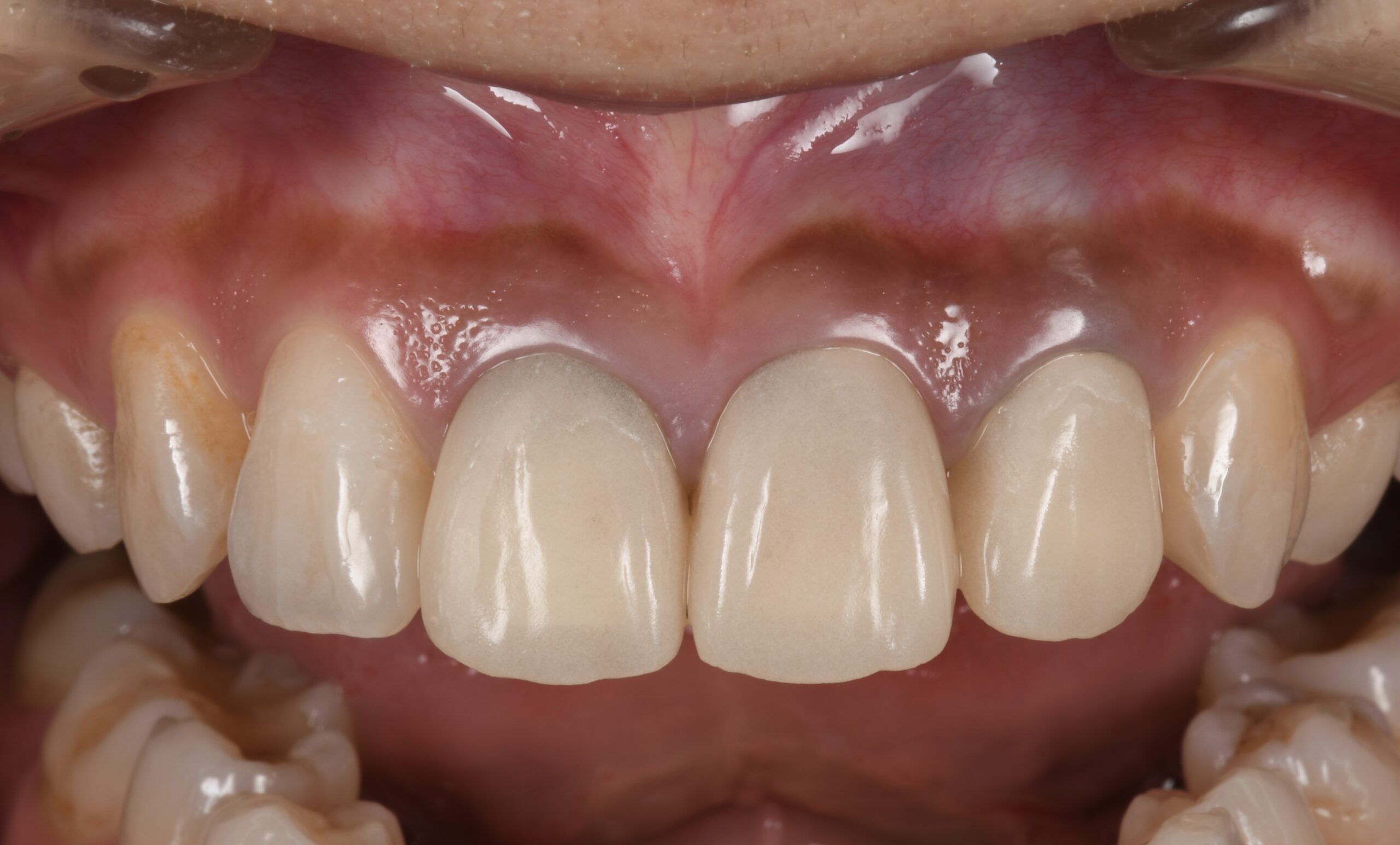
治療内容 セラミック修復
治療期間 7ヶ月
治療費用 約45万円
治療経過 矯正後の前歯を綺麗にしたいとのことで来院された。
特に前歯の形を変えていく場合は模型による診査診断が大切であり、この患者様も模型上で審美的かつ機能的に問題がない形態をシミュレーションし、治療ゴールを明確にした上で処置を進めていった。
全て神経が残っている歯だったので、神経にダメージを与えないよう丁寧に形を整えて、仮歯で歯の形態を煮詰めたのちに最終補綴へと移行した。
リスク・副作用について
  • かみ合わせや歯ぎしりが強い方は割れる可能性があります。
  • 経年的に劣化(摩耗)してくる可能性があります。

初診「個別」相談へのご案内

当院では、患者さんが抱えていらっしゃるお口のお悩みや疑問・不安などにお応えする機会を設けております。どんなことでも構いませんので、私たちにお話ししていただけたらと思います。
ご興味がある方は下記からお問い合わせください。

ご予約・お問い合わせ

092-541-2781

24時間受付中WEB予約

〒815-0033
福岡県福岡市南区大橋2-12-13

西鉄電車「大橋」駅より8分

西鉄バス「東大橋」バス停より1分

駐車場10台(当院専用4台/
    指定コインパーキング6台)