下の前歯を綺麗にしたい(60代)セラミッ…

092-541-2781

キービジュアル

下の前歯を綺麗にしたい(60代)セラミック修復・ホワイトニング

2023年10月29日

年齢 68歳
性別 女性
初診日 2021年9月
主訴 虫歯治療
治療内容 セラミック修復・ホワイトニング
治療期間 3ヶ月
治療費用 約60万円
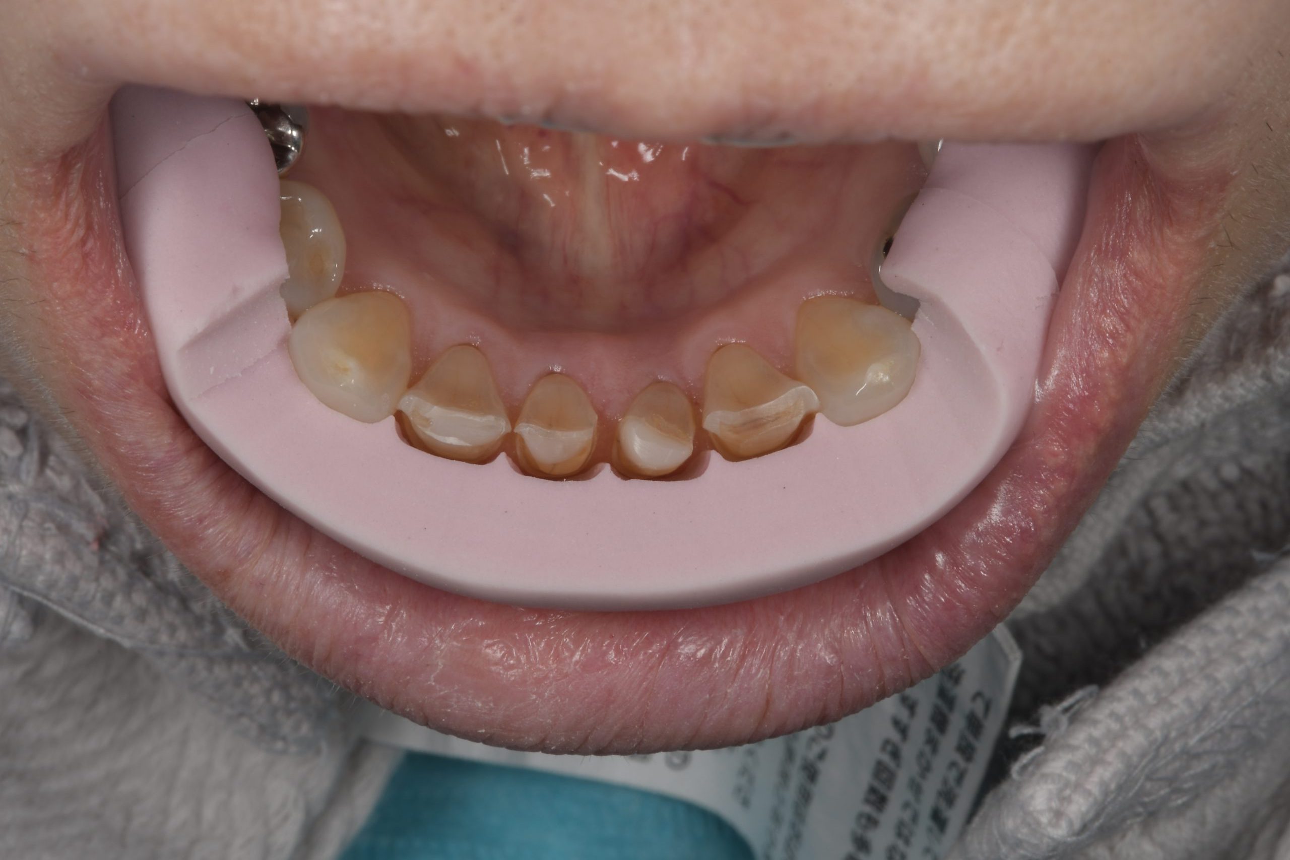
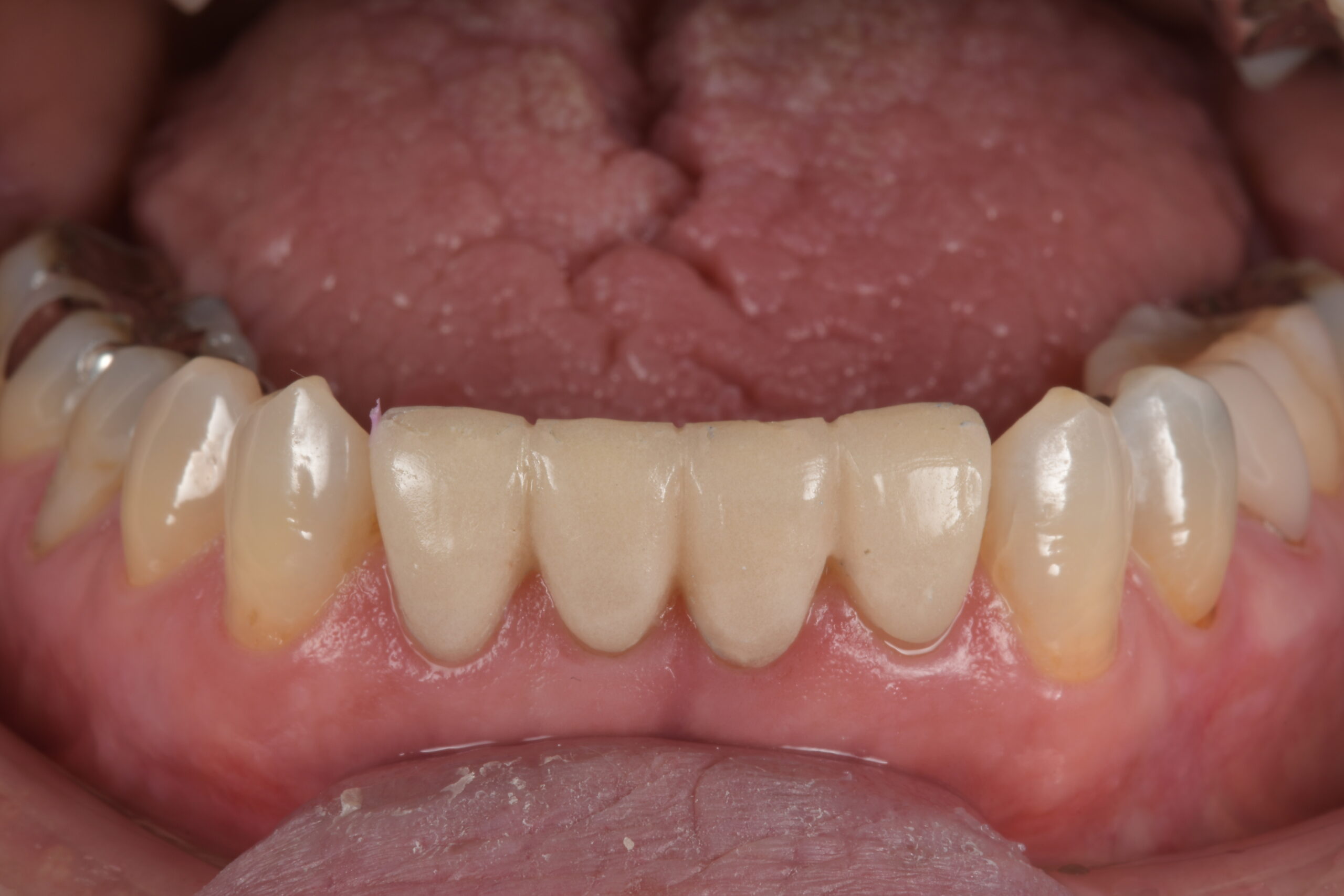
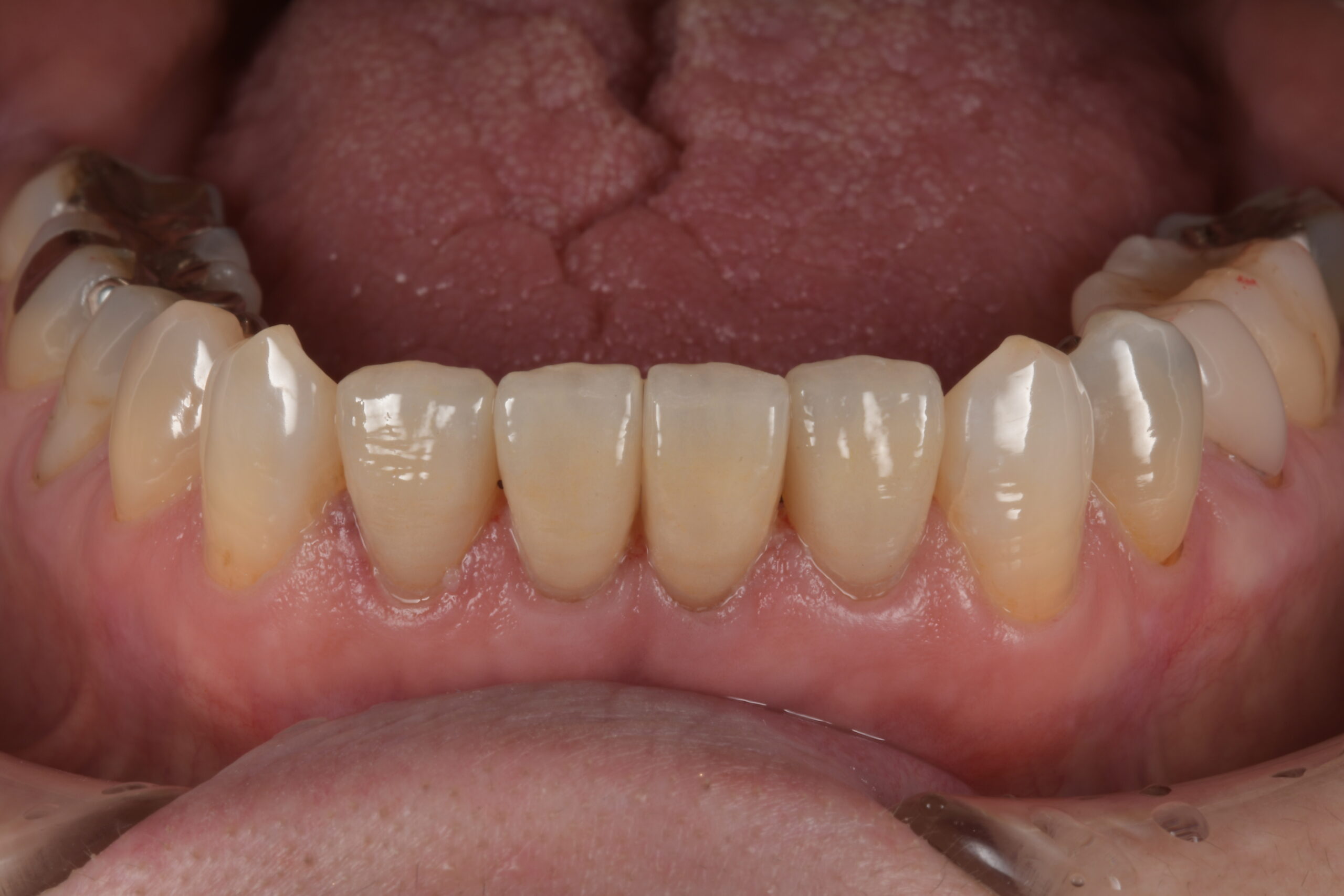
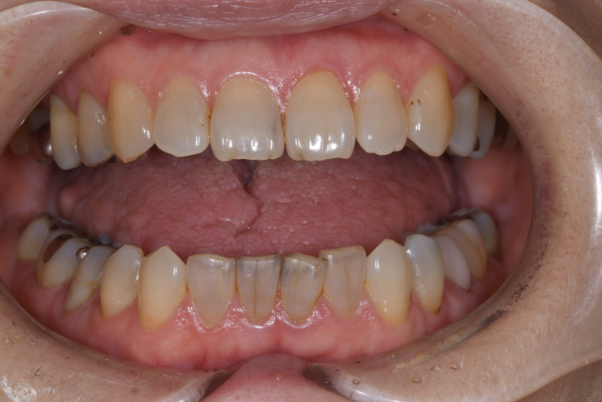
治療経過 下の前歯を綺麗にしたいとのことでホワイトニング希望で来院された。
ホワイトニングによって全体的な色調は明るくできるが、下の前歯に関してはホワイトニングだけでは綺麗にならないことを説明し、ホワイトニングに加えて、最小限の削除量でセラミック修復を行うラミネートベニアを提案した。
ローテーションした形態も改善できるよう模型上でシミュレーションし、そこから逆算した最小限の切削を行なった。
リスク・副作用について
  • ホワイトニングは知覚過敏の症状や色の後戻りが出る可能性があります。
  • かみ合わせや歯ぎしりが強い方は割れる可能性があります。
  • 経年的に劣化(摩耗)してくる可能性があります。

初診「個別」相談へのご案内

当院では、患者さんが抱えていらっしゃるお口のお悩みや疑問・不安などにお応えする機会を設けております。どんなことでも構いませんので、私たちにお話ししていただけたらと思います。
ご興味がある方は下記からお問い合わせください。

ご予約・お問い合わせ

092-541-2781

24時間受付中WEB予約

〒815-0033
福岡県福岡市南区大橋2-12-13

西鉄電車「大橋」駅より8分

西鉄バス「東大橋」バス停より1分

駐車場10台(当院専用4台/
    指定コインパーキング6台)