前歯が外れた(50代)インプラント・セラ…

092-541-2781

キービジュアル

前歯が外れた(50代)インプラント・セラミック修復

2020年2月7日

年齢 53歳
性別 女性
初診日
主訴 前歯が外れた
治療内容 ・インプラント
・セラミック修復
治療期間 1年半
治療費用 430万円
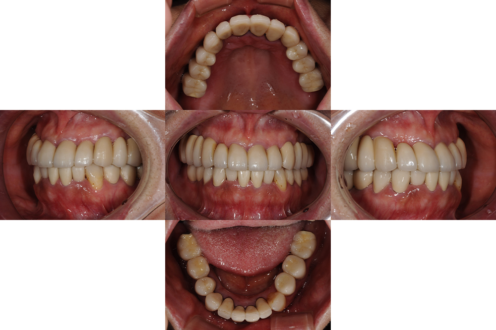
治療経過 上顎は前歯以外は保存不可能と診断した
上顎の前歯も状態が万全ではないため、上顎総義歯も治療計画の1つであったが、固定式の歯を希望されたため上顎は前歯以外をインプラントにて、下顎は予後不良な奥歯を抜歯しインプラントにて咬合再構成をおこなった
現在術後5年が経過しているが不安のあった上顎前歯も問題なく機能している。
インプラントを使用することで残存歯の温存につながった症例である。
リスク・副作用について
  • セラミックはかみ合わせや歯ぎしりが強い方は割れる可能性があります。
  • 経年的に劣化(摩耗)してくる可能性があります。
  • インプラント術後に腫れや痛み、違和感が出る場合があります。
  • 定期的なメンテナンスを怠ったり、喫煙をされる場合、インプラント周囲炎(歯周病)を引き起こす可能性があります。

Before

Before

After

After

初診「個別」相談へのご案内

当院では、患者さんが抱えていらっしゃるお口のお悩みや疑問・不安などにお応えする機会を設けております。どんなことでも構いませんので、私たちにお話ししていただけたらと思います。
ご興味がある方は下記からお問い合わせください。

ご予約・お問い合わせ

092-541-2781

24時間受付中WEB予約

〒815-0033
福岡県福岡市南区大橋2-12-13

西鉄電車「大橋」駅より8分

西鉄バス「東大橋」バス停より1分

駐車場10台(当院専用4台/
    指定コインパーキング6台)