前歯が欠けた(70代)インプラント・セラ…

092-541-2781

キービジュアル

前歯が欠けた(70代)インプラント・セラミック修復

2020年2月10日

年齢 71歳
性別 女性
初診日
主訴 前歯が欠けた
治療内容 ・インプラント
・セラミック修復
治療期間 9ヶ月
治療費用 250万円
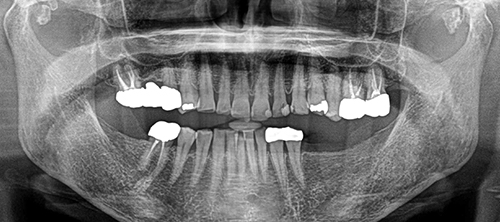
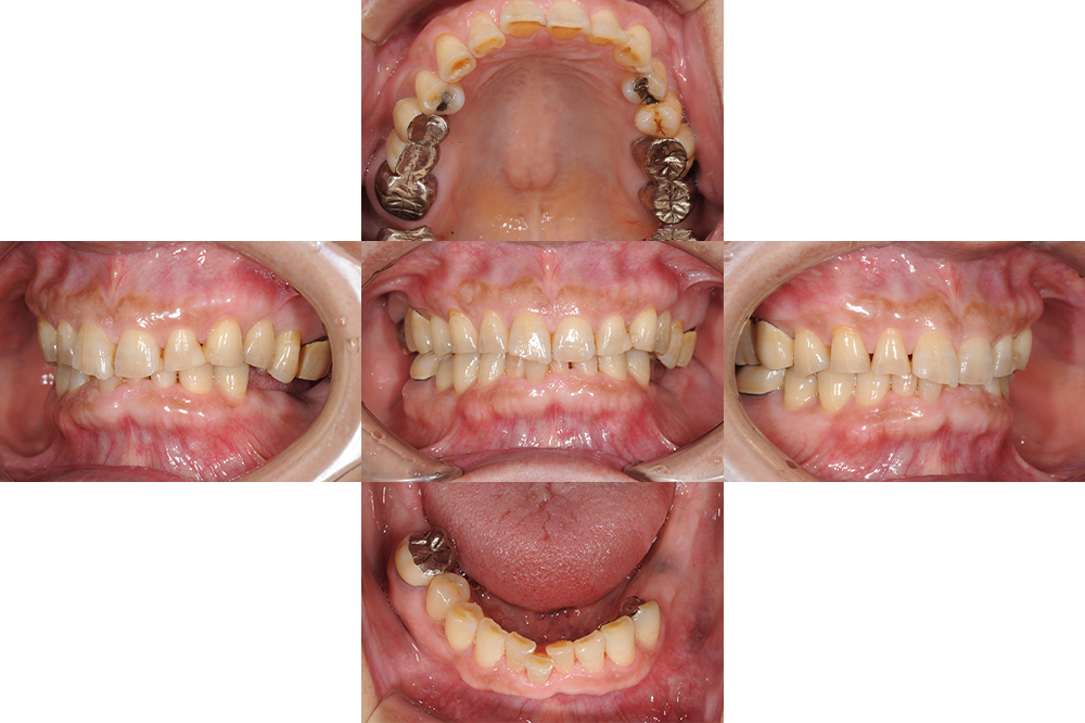
治療経過 全体的に歯が磨耗し、下顎奥歯には義歯が装着されていたが義歯は破損し使えていない状態であった
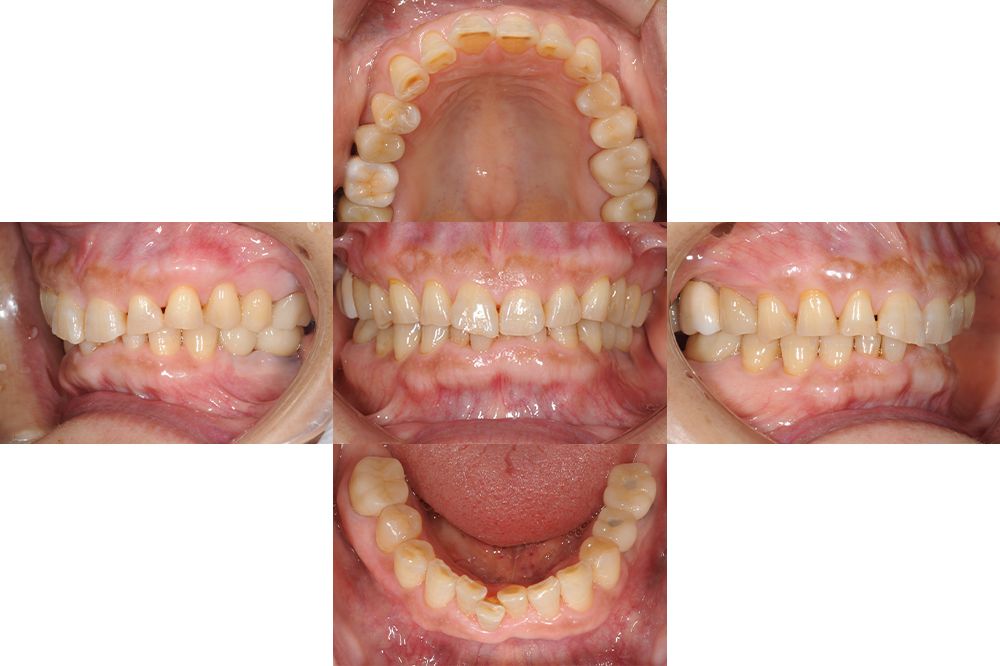
今回奥歯でしっかり咬めるようにしたいということで欠損部にはインプラント治療を、少しでも清掃性を良くしたいという目的でセラミック修復を希望された。
元々全体的に歯と歯の間がすいていて食渣が挟まりやすかったが、インプラントを入れることで奥歯にしっかりしたサポートが回復され、歯の隙間が自然と詰まり、物詰まりも軽減することができた。
リスク・副作用について
  • セラミックはかみ合わせや歯ぎしりが強い方は割れる可能性があります。
  • 経年的に劣化(摩耗)してくる可能性があります。
  • インプラント術後に腫れや痛み、違和感が出る場合があります。
  • 定期的なメンテナンスを怠ったり、喫煙をされる場合、インプラント周囲炎(歯周病)を引き起こす可能性があります。

Before

Before

After

After

初診「個別」相談へのご案内

当院では、患者さんが抱えていらっしゃるお口のお悩みや疑問・不安などにお応えする機会を設けております。どんなことでも構いませんので、私たちにお話ししていただけたらと思います。
ご興味がある方は下記からお問い合わせください。

ご予約・お問い合わせ

092-541-2781

24時間受付中WEB予約

〒815-0033
福岡県福岡市南区大橋2-12-13

西鉄電車「大橋」駅より8分

西鉄バス「東大橋」バス停より1分

駐車場10台(当院専用4台/
    指定コインパーキング6台)