奥歯が外れた(80代)インプラント・セラ…

092-541-2781

キービジュアル

奥歯が外れた(80代)インプラント・セラミック修復

2020年12月18日

年齢 80歳
性別 女性
初診日 2019年 1月
主訴 奥歯が外れた
治療内容 ・インプラント
・セラミック修復
治療期間 1年3ヶ月
治療費用 550万円
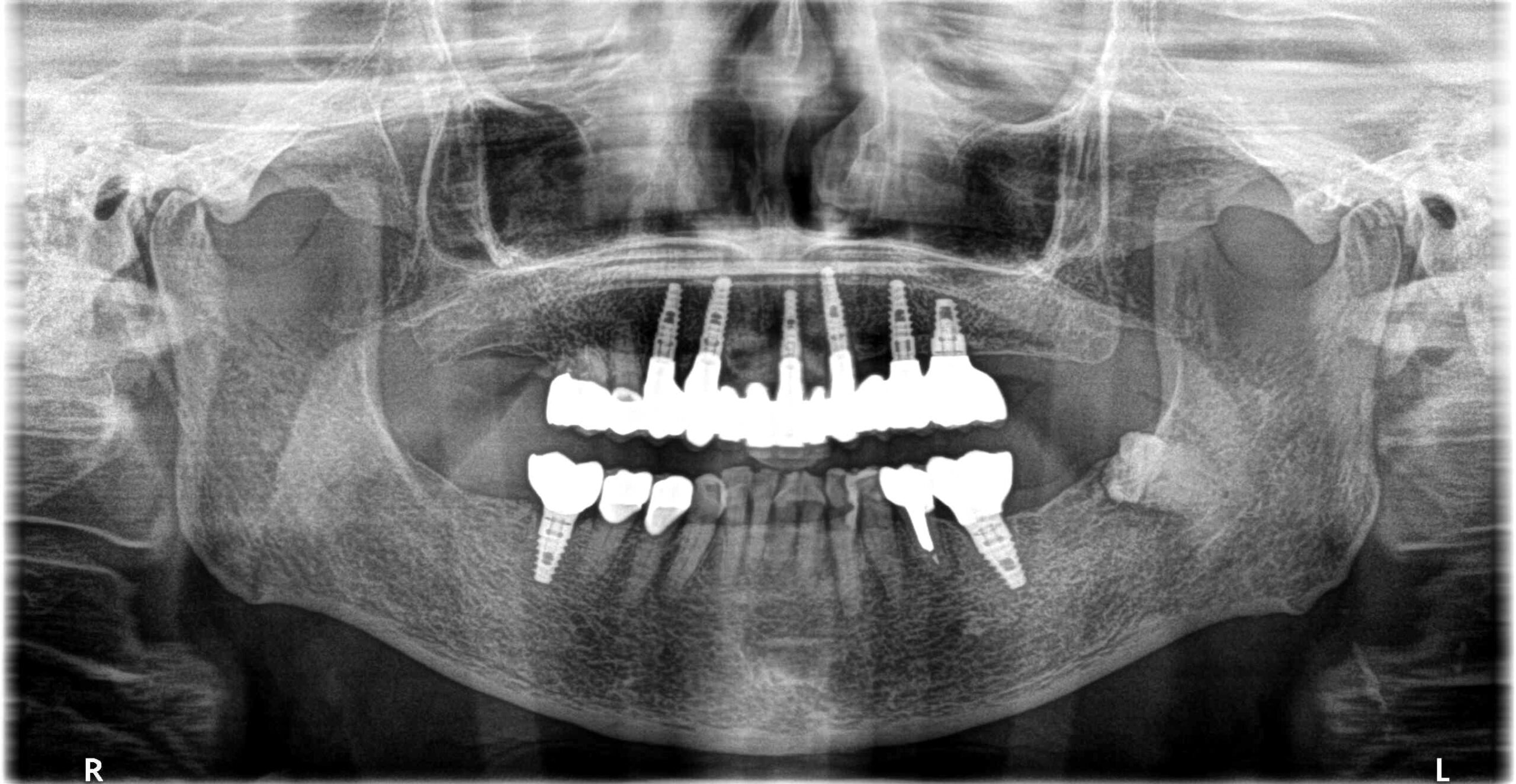
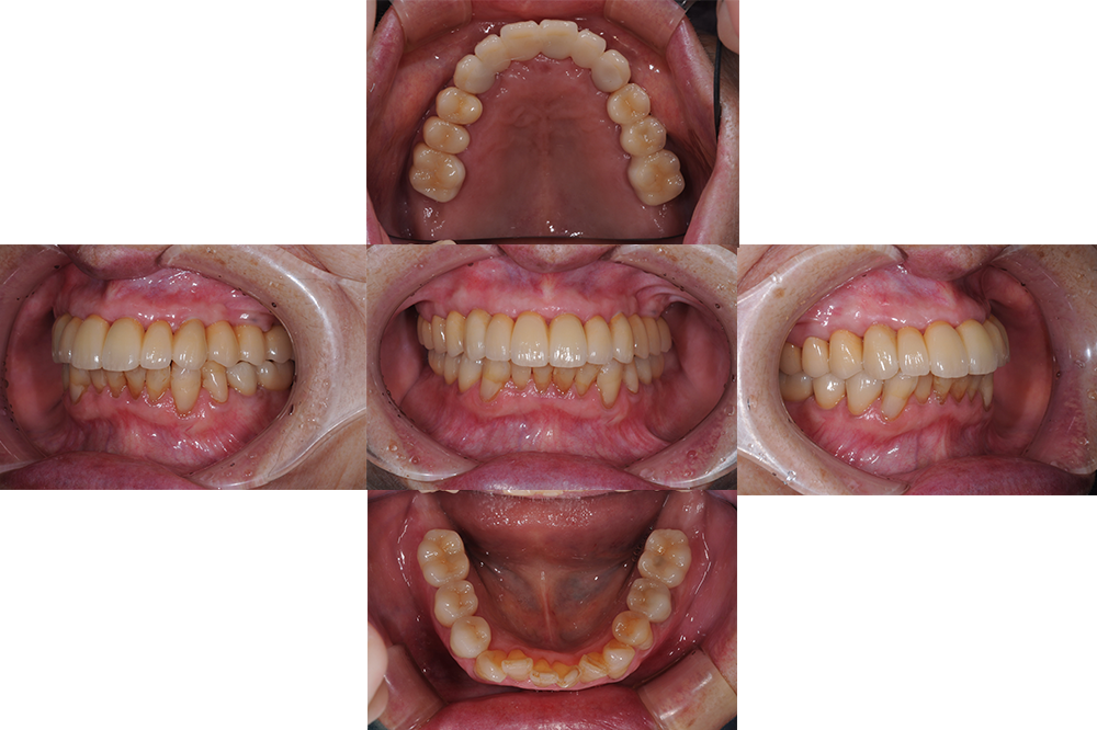
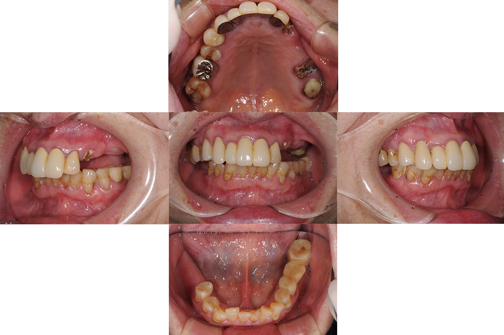
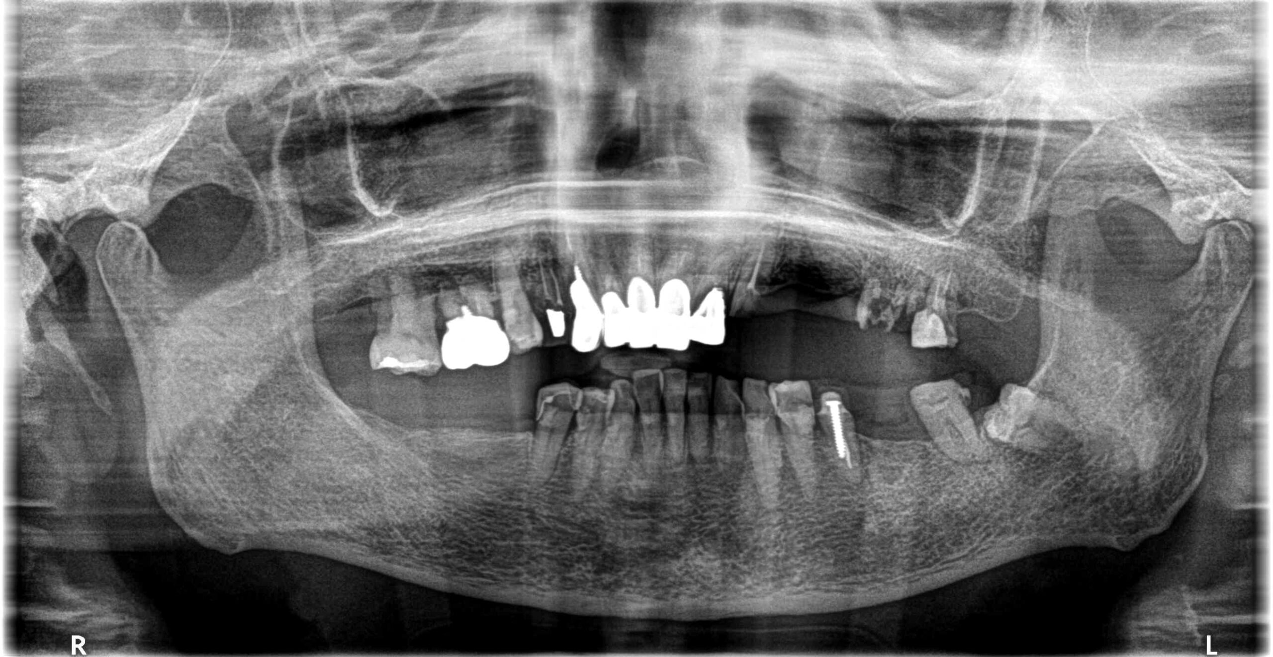
治療経過 高齢ではあったが、入れ歯はどうしてもいれたくないということでインプラントを選択。
上顎は長期的な予後が見込める歯が少なく多数のインプラントを必要としたが、一時的にも義歯を使うことなく、咬める場所を温存しながらインプラントへと移行できた。
初診時不安定だった咬み合わせもスムーズに行えるようになり、不安なく食事ができるお口の状態を獲得できた。
リスク・副作用について
  • セラミックはかみ合わせや歯ぎしりが強い方は割れる可能性があります。
  • 経年的に劣化(摩耗)してくる可能性があります。
  • インプラント術後に腫れや痛み、違和感が出る場合があります。
  • 定期的なメンテナンスを怠ったり、喫煙をされる場合、インプラント周囲炎(歯周病)を引き起こす可能性があります。

初診「個別」相談へのご案内

当院では、患者さんが抱えていらっしゃるお口のお悩みや疑問・不安などにお応えする機会を設けております。どんなことでも構いませんので、私たちにお話ししていただけたらと思います。
ご興味がある方は下記からお問い合わせください。

ご予約・お問い合わせ

092-541-2781

24時間受付中WEB予約

〒815-0033
福岡県福岡市南区大橋2-12-13

西鉄電車「大橋」駅より8分

西鉄バス「東大橋」バス停より1分

駐車場10台(当院専用4台/
    指定コインパーキング6台)