差し歯の色が違う(20代)セラミック修復

092-541-2781

キービジュアル

差し歯の色が違う(20代)セラミック修復

2022年4月20日

年齢 28歳
性別 女性
初診日 2021年4月
主訴 審美障害
治療内容 セラミック修復
治療期間 4ヶ月
治療費用 約17万円
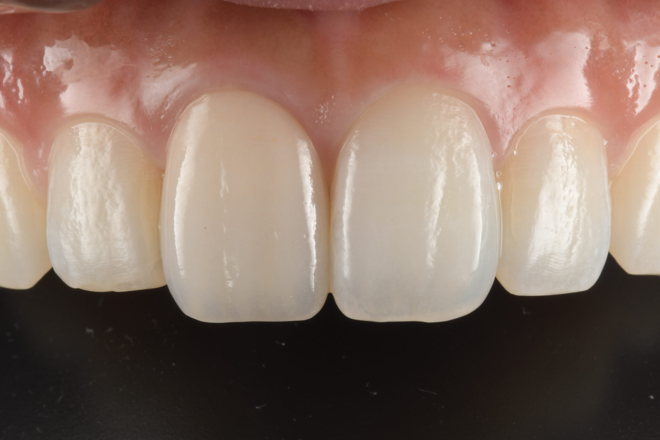
治療経過 差し歯の審美障害で来院された。
歯の幅が左右で微妙に違うため、どのように幅を合わせていくかを模型上で診断し、
不揃いな歯茎の形態に対しては、極力低侵襲な外科処置にて歯肉整形を施し、仮歯の形態修正を重ねた後に最終修復物へと移行した。
たった一本の歯の治療だが、シンメトリーで審美的な形態に仕上げるためには正確な診断と緻密な治療計画が必要となる。
リスク・副作用について
  • かみ合わせや歯ぎしりが強い方は割れる可能性があります。
  • 経年的に劣化(摩耗)してくる可能性があります。

初診「個別」相談へのご案内

当院では、患者さんが抱えていらっしゃるお口のお悩みや疑問・不安などにお応えする機会を設けております。どんなことでも構いませんので、私たちにお話ししていただけたらと思います。
ご興味がある方は下記からお問い合わせください。

ご予約・お問い合わせ

092-541-2781

24時間受付中WEB予約

〒815-0033
福岡県福岡市南区大橋2-12-13

西鉄電車「大橋」駅より8分

西鉄バス「東大橋」バス停より1分

駐車場10台(当院専用4台/
    指定コインパーキング6台)