| 年齢 | 43歳 |
|---|---|
| 性別 | 女性 |
| 初診日 | 2019年8月 |
| 主訴 | 審美障害 |
| 治療内容 | セラミック修復、ダイレクトボンディング |
| 治療期間 | 2ヶ月 |
| 治療費用 | 約30万 |
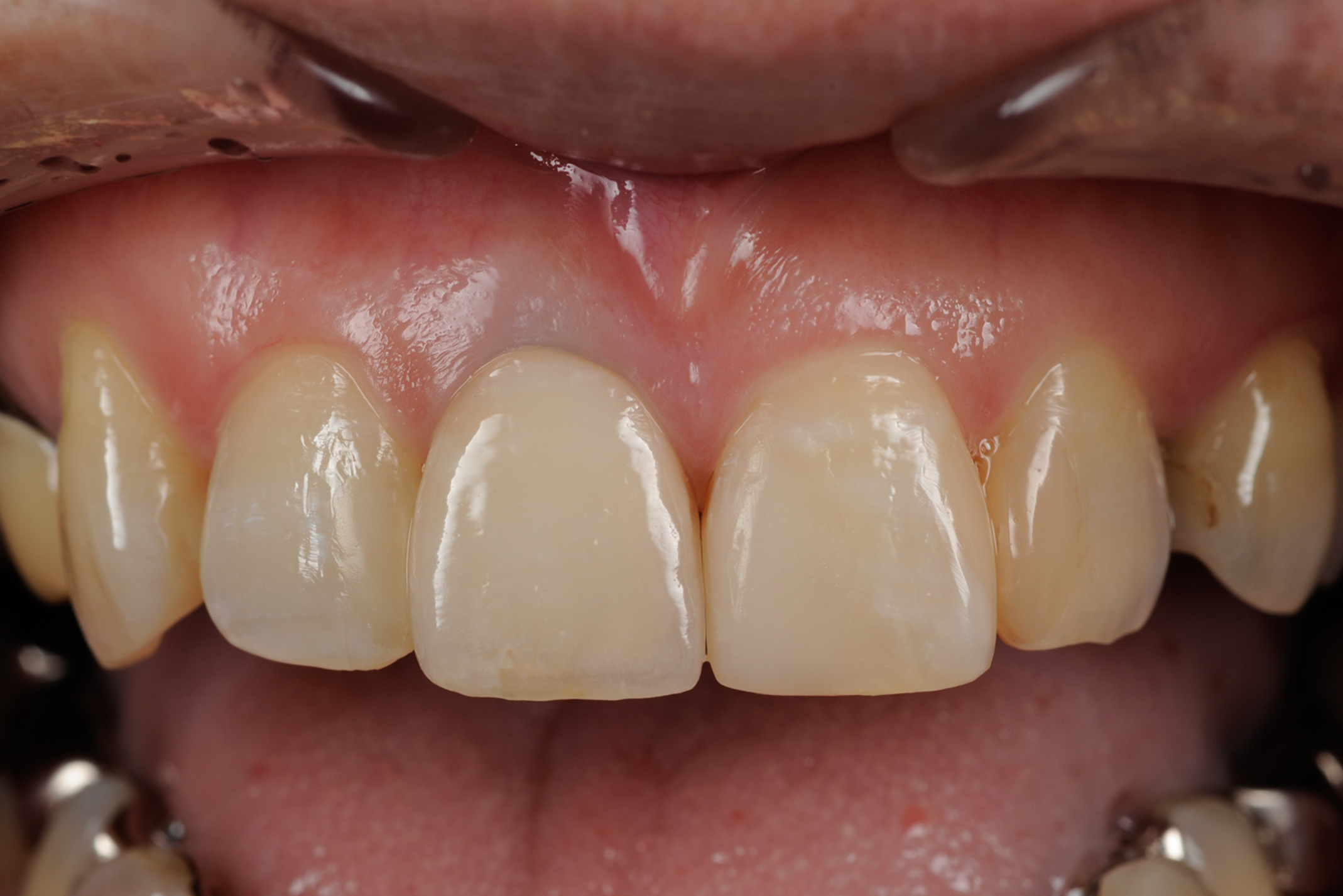
| 治療経過 | 前歯の保険のクラウンをセラミックでやり変えたいとのことで来院された。 隣接する歯にも不適合な修復物があり、天然歯は修復のやり変えと形態修正にてシンメトリーに仕上げていく計画とした。 |
| リスク・副作用について |
|





2022年4月20日
| 年齢 | 43歳 |
|---|---|
| 性別 | 女性 |
| 初診日 | 2019年8月 |
| 主訴 | 審美障害 |
| 治療内容 | セラミック修復、ダイレクトボンディング |
| 治療期間 | 2ヶ月 |
| 治療費用 | 約30万 |
| 治療経過 | 前歯の保険のクラウンをセラミックでやり変えたいとのことで来院された。 隣接する歯にも不適合な修復物があり、天然歯は修復のやり変えと形態修正にてシンメトリーに仕上げていく計画とした。 |
| リスク・副作用について |
|





当院では、患者さんが抱えていらっしゃるお口のお悩みや疑問・不安などにお応えする機会を設けております。どんなことでも構いませんので、私たちにお話ししていただけたらと思います。
ご興味がある方は下記からお問い合わせください。