| 年齢 | 38歳 |
|---|---|
| 性別 | 女性 |
| 初診日 | |
| 主訴 | 前歯を綺麗にしたい |
| 治療内容 | セラミック修復 |
| 治療期間 | 3ヶ月 |
| 治療費用 | 約50万 |
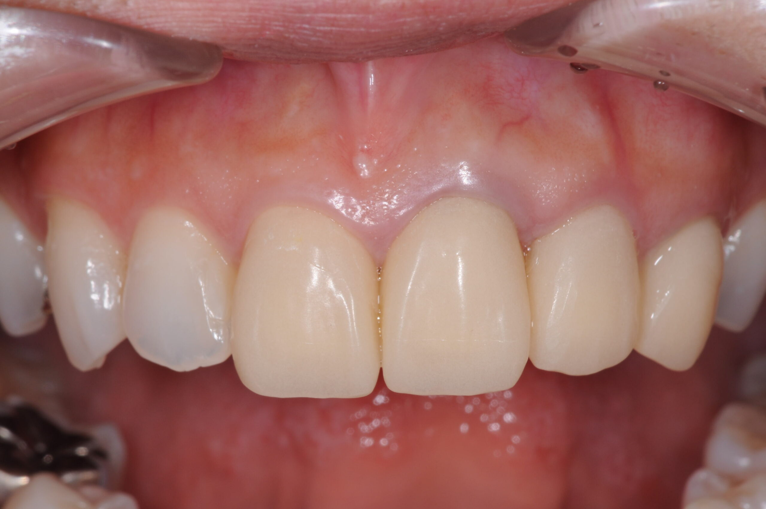
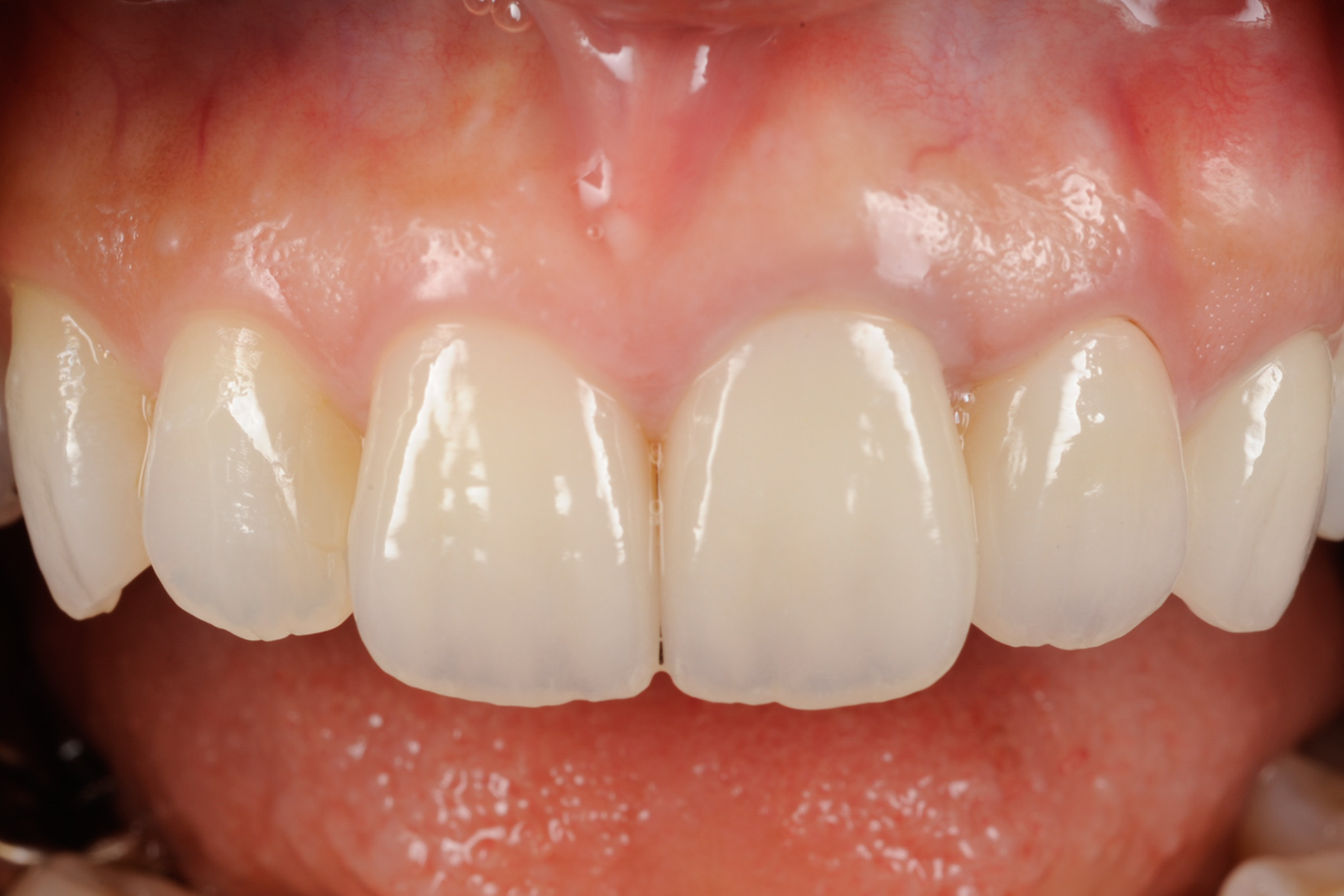
| 治療経過 | 真ん中の2本の見た目を合わせたいとの希望であった。 右上中切歯は神経がなく修復物の範囲も広かったため、セラミッククラウンにすることで左右の条件を合わせていくこととした。 根の治療をやり直し、仮歯にて最終的な歯の長さや形態を煮詰めたのちに、最終補綴へと移行した。 |
| リスク・副作用について |
|





2022年4月20日
| 年齢 | 38歳 |
|---|---|
| 性別 | 女性 |
| 初診日 | |
| 主訴 | 前歯を綺麗にしたい |
| 治療内容 | セラミック修復 |
| 治療期間 | 3ヶ月 |
| 治療費用 | 約50万 |
| 治療経過 | 真ん中の2本の見た目を合わせたいとの希望であった。 右上中切歯は神経がなく修復物の範囲も広かったため、セラミッククラウンにすることで左右の条件を合わせていくこととした。 根の治療をやり直し、仮歯にて最終的な歯の長さや形態を煮詰めたのちに、最終補綴へと移行した。 |
| リスク・副作用について |
|





当院では、患者さんが抱えていらっしゃるお口のお悩みや疑問・不安などにお応えする機会を設けております。どんなことでも構いませんので、私たちにお話ししていただけたらと思います。
ご興味がある方は下記からお問い合わせください。