症例集

092-541-2781

キービジュアル
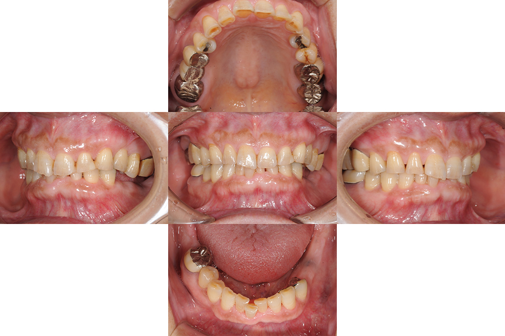
前歯がグラグラする(60代)インプラント・セラミック修復・金属床義歯

前歯がグラグラする(60代)インプラント・セラミック…

年齢 67歳 性別 女性 主訴/ニーズ 前歯がグラグラする 治療期間 1年 治療内容 ・インプラント ・セラミック修復 ・金属床義歯 費用 300万円 治療経過 上顎の残存歯が残念ながら虫歯で抜歯を余儀なくされ総義歯となった。 上顎の固定式も検討したがインプラントの…

2020.10.23

前歯が欠けた(70代)インプラント・セラミック修復

前歯が欠けた(70代)インプラント・セラミック修復

年齢 71歳 性別 女性 初診日 主訴 前歯が欠けた 治療内容 ・インプラント ・セラミック修復 治療期間 9ヶ月 治療費用 250万円 治療経過 全体的に歯が磨耗し、下顎奥歯には義歯が装着されていたが義歯は破損し使えていない状態であった。 今回奥歯でしっかり咬め…

2020.2.10

前歯が外れた(50代)インプラント・セラミック修復

前歯が外れた(50代)インプラント・セラミック修復

年齢 53歳 性別 女性 初診日 主訴 前歯が外れた 治療内容 ・インプラント ・セラミック修復 治療期間 1年半 治療費用 430万円 治療経過 上顎は前歯以外は保存不可能と診断した。 上顎の前歯も状態が万全ではないため、上顎総義歯も治療計画の1つであったが、固…

2020.2.7

初診「個別」相談へのご案内

当院では、患者さんが抱えていらっしゃるお口のお悩みや疑問・不安などにお応えする機会を設けております。どんなことでも構いませんので、私たちにお話ししていただけたらと思います。
ご興味がある方は下記からお問い合わせください。

ご予約・お問い合わせ

092-541-2781

24時間受付中WEB予約

〒815-0033
福岡県福岡市南区大橋2-12-13

西鉄電車「大橋」駅より8分

西鉄バス「東大橋」バス停より1分

駐車場10台(当院専用4台/
    指定コインパーキング6台)