症例集

092-541-2781

キービジュアル
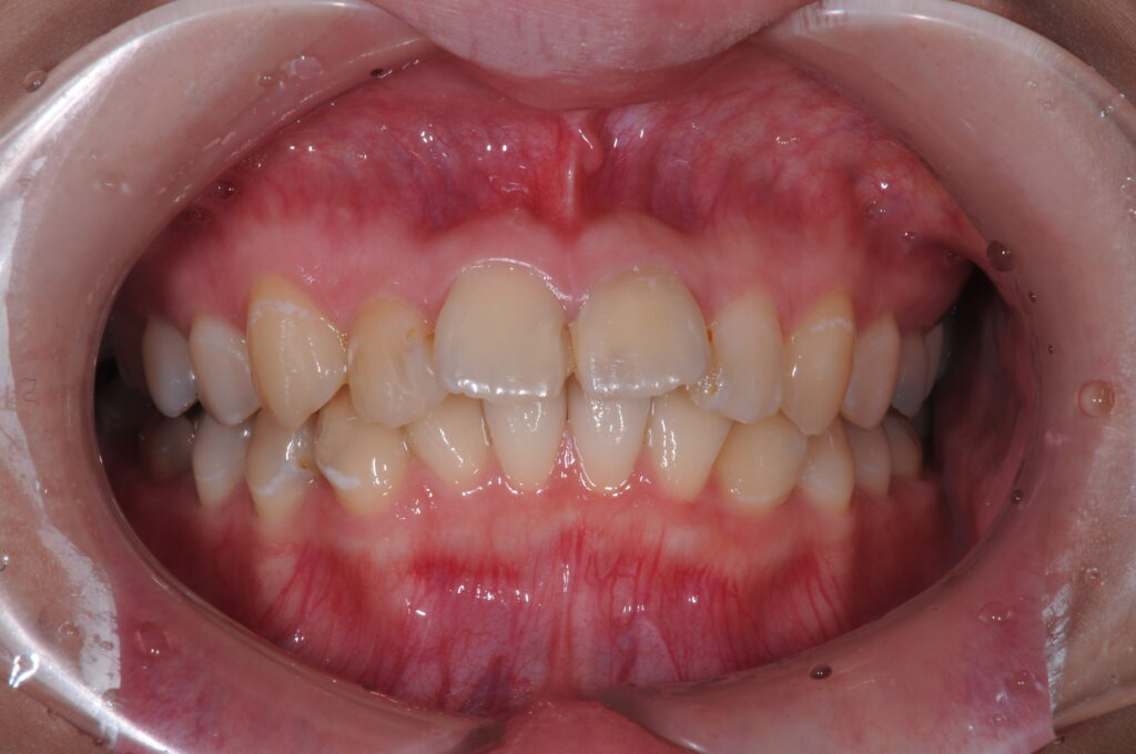
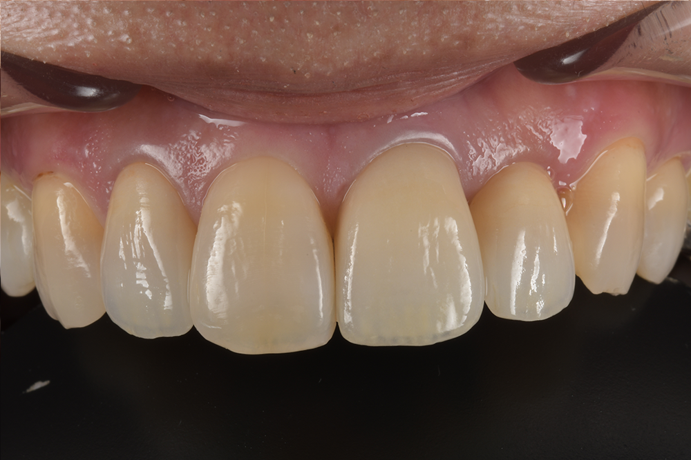
前歯が欠けた(60代)セラミック修復・ホワイトニング

前歯が欠けた(60代)セラミック修復・ホワイトニング

年齢 67歳 性別 女性 初診日 2022年7月 主訴 審美障害 治療内容 セラミック修復・ホワイトニング 治療期間 4ヶ月 治療費用 約50万円 治療経過 前歯が欠けたとのことで来院された。 元々装着されていたラミネートベニアの破折であった。 ラミネートベニアのや…

2023.2.27

ガタガタの前歯を治したい(20代)セラミック修復・ダイレクトボンディング・ホワイトニング

ガタガタの前歯を治したい(20代)セラミック修復・ダ…

年齢 24歳 性別 女性 初診日 2021年5月 主訴 虫歯治療 治療内容 セラミック修復・ダイレクトボンディング・ホワイトニング 治療期間 4ヶ月 治療費用 約50万円 治療経過 ガタガタの前歯を治したいとのことで来院された。 本来矯正治療の適応であるが、矯正は費…

2023.2.26

歯の隙間を埋めたい(30代)ダイレクトボンディング

歯の隙間を埋めたい(30代)ダイレクトボンディング

年齢 30歳 性別 女性 初診日 2019年9月 主訴 審美障害 治療内容 ダイレクトボンディング 治療期間 2日 治療費用 66000円 ×2本 治療経過 歯の隙間を埋めたいという主訴で来院された。 空隙を埋める方法としては矯正治療と修復治療が選択できるが、今回の…

2023.2.26

歯並びを治したい(20代)マウスピース矯正

歯並びを治したい(20代)マウスピース矯正

年齢 20歳 性別 女性 初診日 2022年9月 主訴 歯並びを治したい 治療内容 マウスピース矯正 治療期間 4ヶ月 治療費用 50万円 治療経過 歯並びを治したいとのことで来院された。 特に前歯の前突を治したいとのことだった。 本来の適応症は抜歯矯正も視野に入れ…

2023.2.14

歯が欠けている(60代)セラミック治療(テーブルトップベニア)

歯が欠けている(60代)セラミック治療(テーブルトッ…

年齢 65歳 性別 女性 初診日 2018年7月 主訴 虫歯治療 治療内容 セラミック治療 治療期間 2日 治療費用 77000円 治療経過 メンテナンス来院時に歯が欠けているとの訴えがあった。 約10年前にセラミックを入れた左上大臼歯が一部破折したため再治療介入と…

2023.2.7

治療した銀歯が虫歯になった(40代)セラミック治療(テーブルトップベニア)

治療した銀歯が虫歯になった(40代)セラミック治療(…

年齢 41歳 性別 男性 初診日 2022年10月 主訴 虫歯治療 治療内容 セラミック治療 治療期間 2日 治療費用 132000円 治療経過 虫歯治療希望で来院された。 左上大臼歯に二次う蝕を認めたためセラミックによる治療介入となった。 虫歯が大きく神経に達して…

2023.2.7

治療した銀歯が虫歯になった(60代)セラミック治療(テーブルトップベニア)

治療した銀歯が虫歯になった(60代)セラミック治療(…

年齢 60歳 性別 女性 初診日 2022年9月 主訴 メンテナンス 治療内容 セラミック治療 治療期間 2日 治療費用 132000円 治療経過 メンテナンス希望で来院された。 左上大臼歯に二次う蝕を認めたためセラミックによる治療介入となった。 健全歯質は極力温存…

2023.2.7

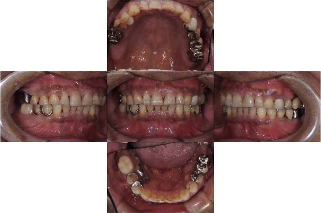
被せ物が外れた(60代)インプラント・セラミック修復

被せ物が外れた(60代)インプラント・セラミック修復

年齢 62歳 性別 男性 初診日 2019年11月 主訴 被せ物が外れた 治療内容 ・インプラント ・セラミック修復 治療期間 8ヶ月 治療費用 250万円 治療経過 主訴は被せ物の脱離であったが、診査の結果、現状抜歯を余儀なくされる歯も見受けられた。 患者様は現在…

2023.2.3

事故で歯を失った(20代)前歯インプラント

事故で歯を失った(20代)前歯インプラント

年齢 26歳 性別 男性 初診日 2018年6月 主訴 事故で歯を失った 治療内容 インプラント 治療期間 5ヶ月 治療費用 約45万 治療経過 左上中切歯が事故で喪失した状態で来院。 健全な両側隣在歯を削ることになるブリッジは避け、天然歯の構造を唯一取り戻すことが…

2023.2.2

歯茎が腫れた(60代)インプラント

歯茎が腫れた(60代)インプラント

年齢 65歳 性別 女性 初診日 2020年11月 主訴 歯が痛い 治療内容 インプラント 治療期間 1年 治療費用 約270万円 治療経過 左下の奥から2番目の歯茎が腫れたとのことで来院された。 主訴の原因歯は根が割れており診断結果は抜歯であった。 すでに欠損歯も…

2023.2.2

初診「個別」相談へのご案内

当院では、患者さんが抱えていらっしゃるお口のお悩みや疑問・不安などにお応えする機会を設けております。どんなことでも構いませんので、私たちにお話ししていただけたらと思います。
ご興味がある方は下記からお問い合わせください。

ご予約・お問い合わせ

092-541-2781

24時間受付中WEB予約

〒815-0033
福岡県福岡市南区大橋2-12-13

西鉄電車「大橋」駅より8分

西鉄バス「東大橋」バス停より1分

駐車場10台(当院専用4台/
    指定コインパーキング6台)