症例集

092-541-2781

キービジュアル

カテゴリー:「前歯」の記事一覧

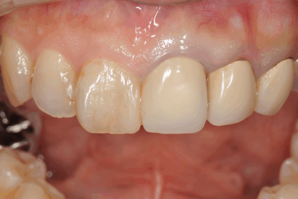
虫歯治療(40代)セラミック修復

虫歯治療(40代)セラミック修復

年齢 44歳 性別 女性 初診日 2020年12月 主訴 虫歯治療 治療内容 セラミック修復 治療期間 7ヶ月 治療費用 約70万円 治療経過 全体的に虫歯が多発しており、全部治したいとのことで来院された。 前歯に関しては費用がかかっても綺麗に治したいとの要望があり…

2022.4.20

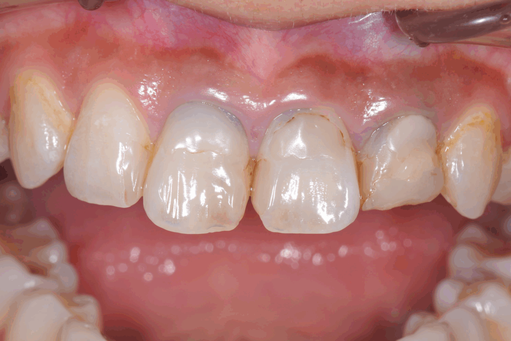
前歯を綺麗にしたい(20代)セラミック修復

前歯を綺麗にしたい(20代)セラミック修復

年齢 26歳 性別 女性 初診日 2020年8月 主訴 前歯を綺麗にしたい 治療内容 セラミック修復 治療期間 7ヶ月 治療費用 約45万円 治療経過 矯正後の前歯を綺麗にしたいとのことで来院された。 特に前歯の形を変えていく場合は模型による診査診断が大切であり、こ…

2022.4.20

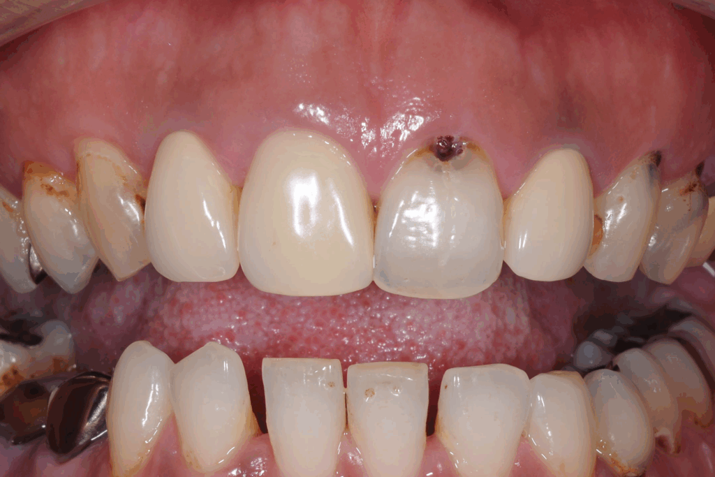
前歯を綺麗にしたい(30代)セラミック修復

前歯を綺麗にしたい(30代)セラミック修復

年齢 38歳 性別 女性 初診日 主訴 前歯を綺麗にしたい 治療内容 セラミック修復 治療期間 3ヶ月 治療費用 約50万 治療経過 真ん中の2本の見た目を合わせたいとの希望であった。 右上中切歯は神経がなく修復物の範囲も広かったため、セラミッククラウンにすること…

2022.4.20

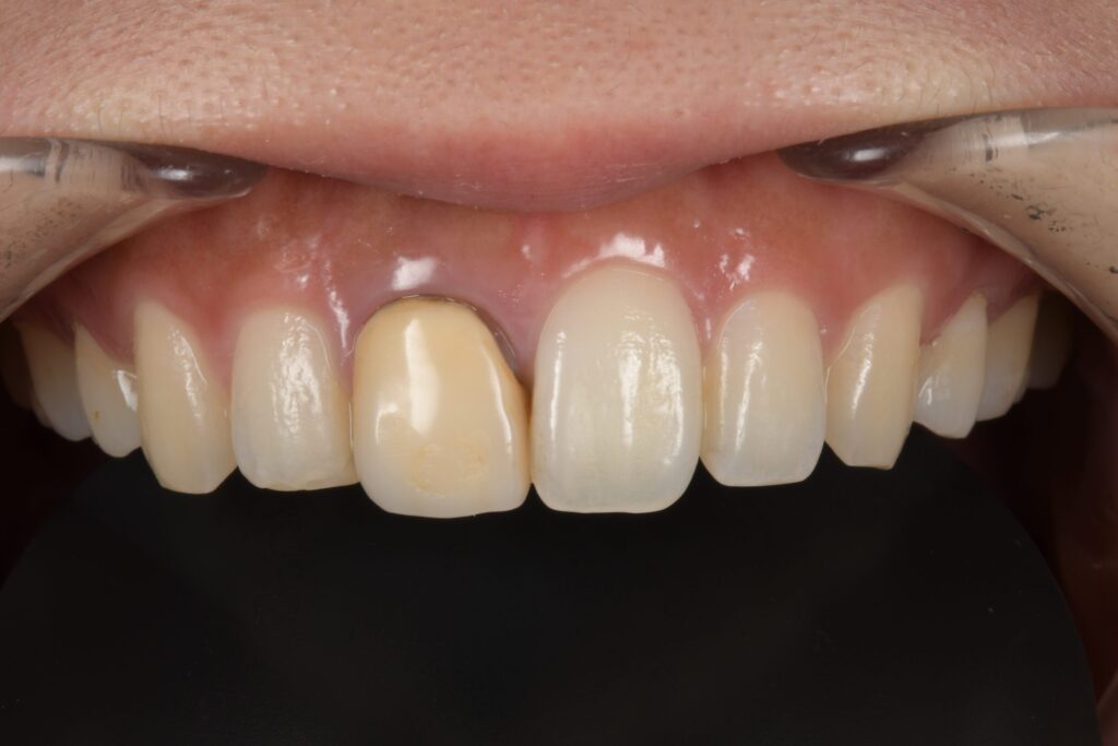
前歯をセラミックでやり変えたい(40代)セラミック修復、ダイレクトボンディング

前歯をセラミックでやり変えたい(40代)セラミック修…

年齢 43歳 性別 女性 初診日 2019年8月 主訴 審美障害 治療内容 セラミック修復、ダイレクトボンディング 治療期間 2ヶ月 治療費用 約30万 治療経過 前歯の保険のクラウンをセラミックでやり変えたいとのことで来院された。 隣接する歯にも不適合な修復物があ…

2022.4.20

差し歯の色が違う(20代)セラミック修復

差し歯の色が違う(20代)セラミック修復

年齢 28歳 性別 女性 初診日 2021年4月 主訴 審美障害 治療内容 セラミック修復 治療期間 4ヶ月 治療費用 約17万円 治療経過 差し歯の審美障害で来院された。 歯の幅が左右で微妙に違うため、どのように幅を合わせていくかを模型上で診断し、 不揃いな歯茎の…

2022.4.20

初診「個別」相談へのご案内

当院では、患者さんが抱えていらっしゃるお口のお悩みや疑問・不安などにお応えする機会を設けております。どんなことでも構いませんので、私たちにお話ししていただけたらと思います。
ご興味がある方は下記からお問い合わせください。

ご予約・お問い合わせ

092-541-2781

24時間受付中WEB予約

〒815-0033
福岡県福岡市南区大橋2-12-13

西鉄電車「大橋」駅より8分

西鉄バス「東大橋」バス停より1分

駐車場10台(当院専用4台/
    指定コインパーキング6台)