治療した銀歯が虫歯になった(40代)セラ…

092-541-2781

キービジュアル

治療した銀歯が虫歯になった(40代)セラミック治療(テーブルトップベニア)

2023年2月7日

年齢 41歳
性別 男性
初診日 2022年10月
主訴 虫歯治療
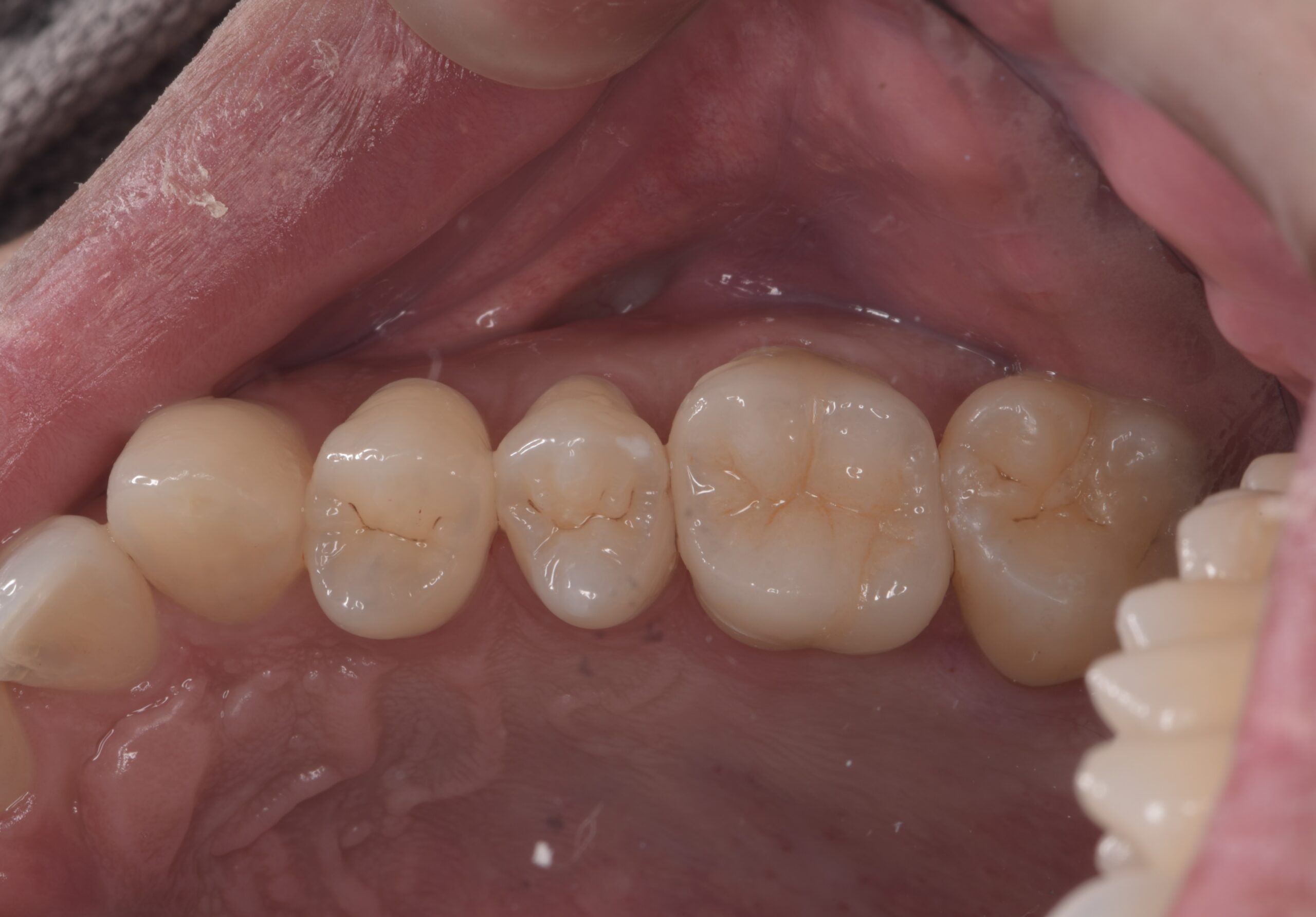
治療内容 セラミック治療
治療期間 2日
治療費用 132000円
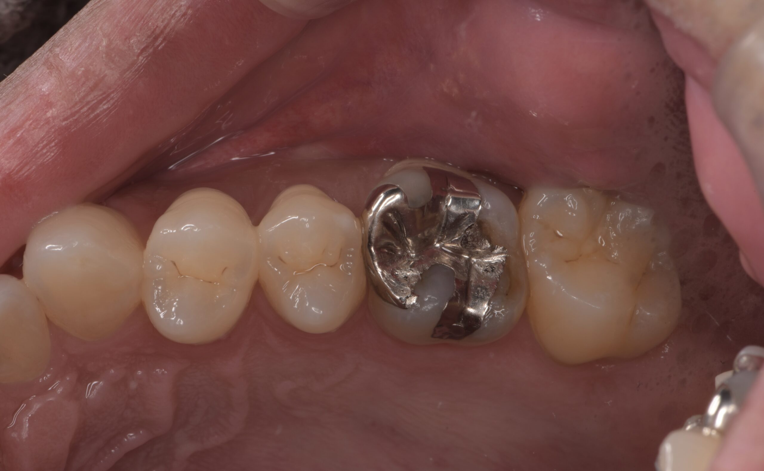
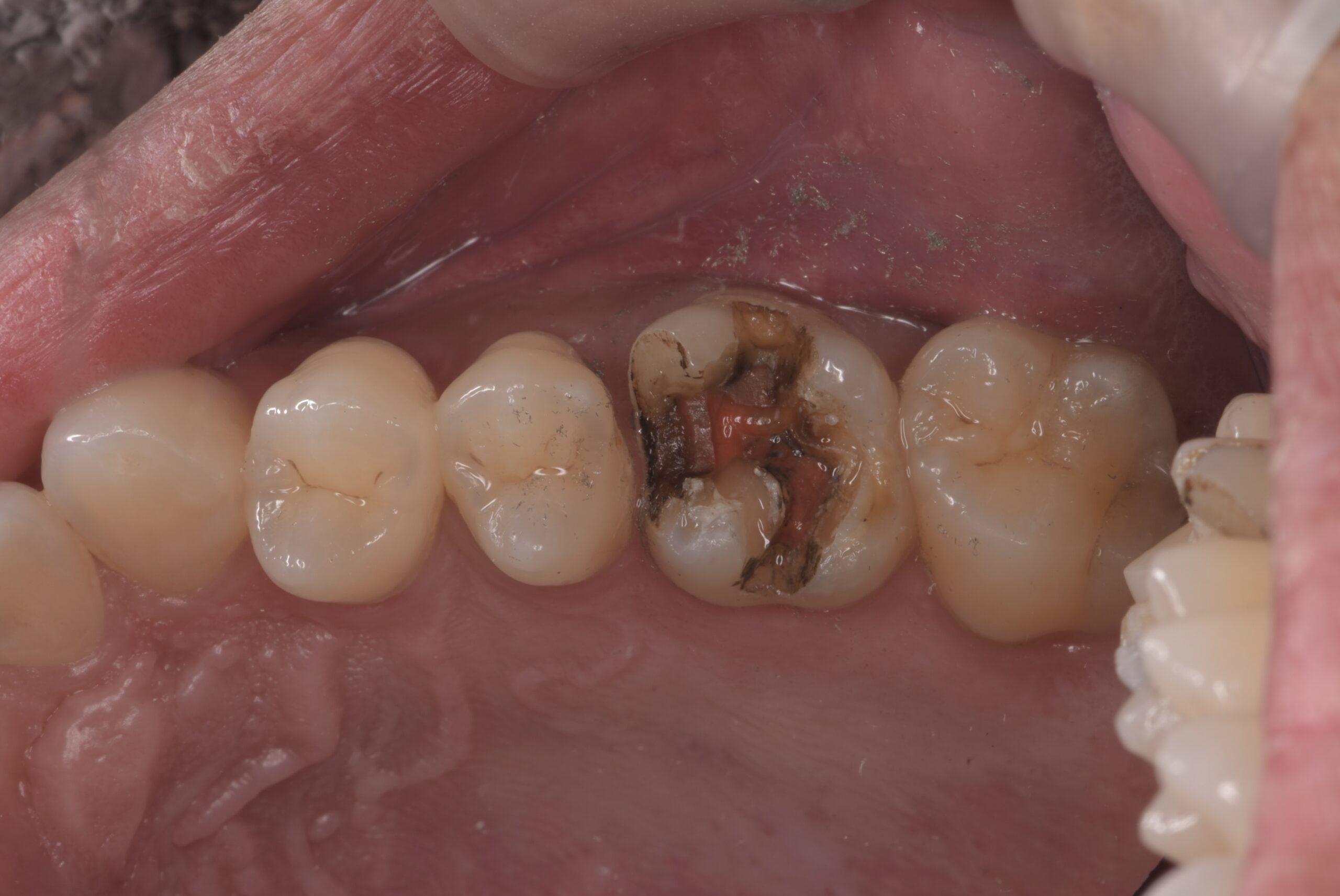
治療経過 虫歯治療希望で来院された。
左上大臼歯に二次う蝕を認めたためセラミックによる治療介入となった。
虫歯が大きく神経に達していたが、特殊な薬剤を使用することで神経を温存することが可能となる歯髄温存療法も併用した。
健全歯質は極力温存したいが、再治療介入のリスクを考慮して、脆弱な歯質は削合し、噛み合わせの面を全てセラミックで被覆するテーブルトップベニアを選択した。
リスク・副作用について
  • かみ合わせや歯ぎしりが強い方は割れる可能性があります。
  • 経年的に劣化(摩耗)してくる可能性があります。

初診「個別」相談へのご案内

当院では、患者さんが抱えていらっしゃるお口のお悩みや疑問・不安などにお応えする機会を設けております。どんなことでも構いませんので、私たちにお話ししていただけたらと思います。
ご興味がある方は下記からお問い合わせください。

ご予約・お問い合わせ

092-541-2781

24時間受付中WEB予約

〒815-0033
福岡県福岡市南区大橋2-12-13

西鉄電車「大橋」駅より8分

西鉄バス「東大橋」バス停より1分

駐車場10台(当院専用4台/
    指定コインパーキング6台)