| 年齢 | 20歳 |
|---|---|
| 性別 | 男性 |
| 初診日 | 2024年6月 |
| 主訴 | 歯が欠けた |
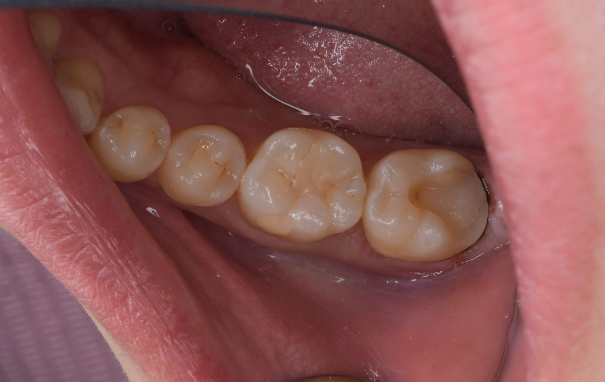
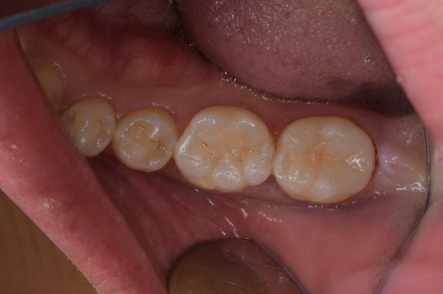
| 治療内容 | セラミックインレー |
| 治療期間 | 2日 |
| 治療費用 | 110000円 |
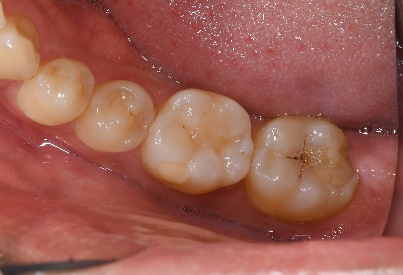
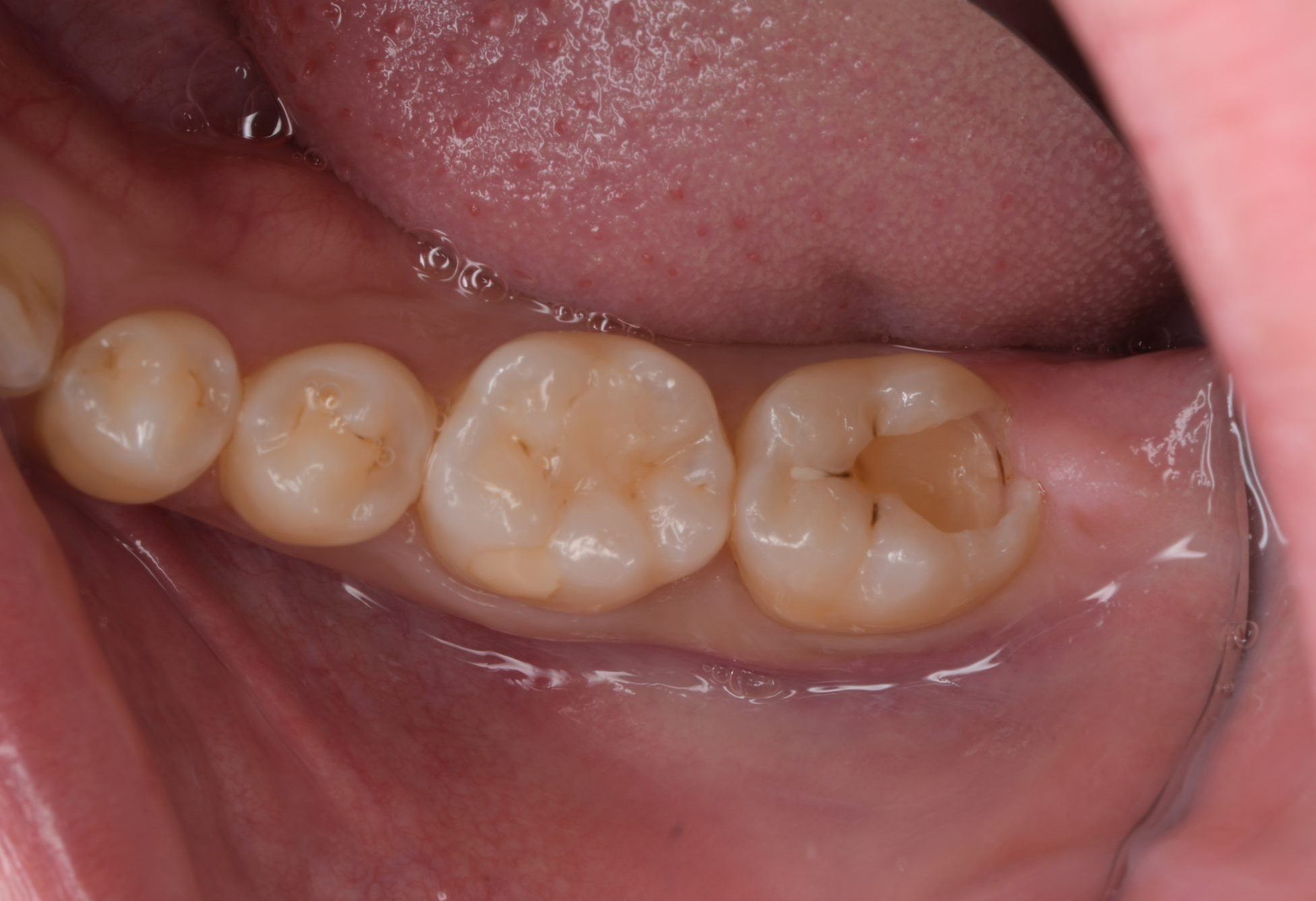
| 治療経過 | 食事中に歯が欠けたとのことで来院された。 左下の最後方臼歯の歯牙が一部破折していた。 1年前に治療したということだったが、プラスチックが充填されておりレントゲンですでに深く削られた後が確認された。 再治療のリスクや治療の精度の違いを説明し、歯への接着力、清掃性に優れたセラミックを用いた修復方法を希望された。 口腔内スキャナーを用いて歯型採りを行い、3Dプリンター模型上で修復物を作製することで、 従来の歯型採りで行う治療よりも、精度や作業工程が格段に向上している。 |
| リスク・副作用について |
|












