歯並びを治したい(20代)マウスピース矯…

092-541-2781

キービジュアル

歯並びを治したい(20代)マウスピース矯正

2023年2月14日

年齢 20歳
性別 女性
初診日 2022年9月
主訴 歯並びを治したい
治療内容 マウスピース矯正
治療期間 4ヶ月
治療費用 50万円
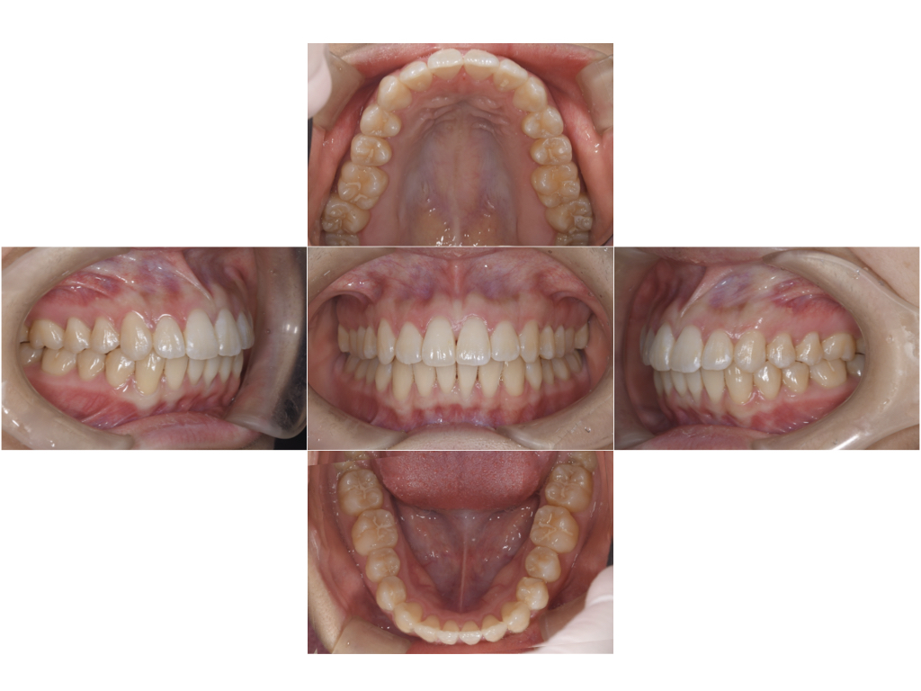
治療経過 歯並びを治したいとのことで来院された。
特に前歯の前突を治したいとのことだった。
本来の適応症は抜歯矯正も視野に入れた全顎矯正ではあったが、治療期間と費用を十分相談の上、マウスピースによる部分矯正で対応することになった。
口腔内スキャナーのiTeroを用いてシミュレーションを行い、矯正後のイメージを実際に見ていただいた上で、インビザラインにて矯正治療を行なった。
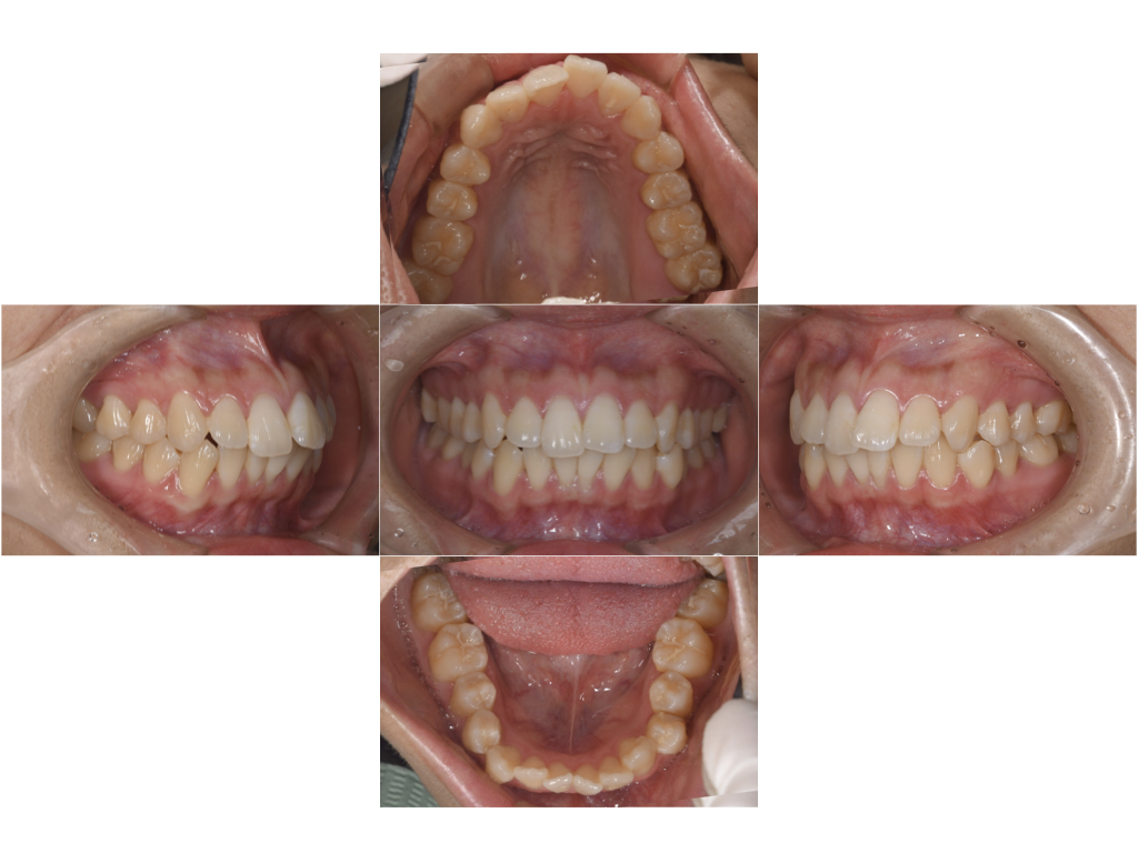
実質動的期間は14週でシミュレーション通りに終了し、仕上がりにも大変満足していただいた。
リスク・副作用について
  • 装着時間や使用方法が守られない場合、良好な治療結果が得られない・治療期間が延長する可能性があります。
  • 矯正治療終了後は後戻りを防ぐため、保定装置(リテーナー)の装着が必要です。

初診「個別」相談へのご案内

当院では、患者さんが抱えていらっしゃるお口のお悩みや疑問・不安などにお応えする機会を設けております。どんなことでも構いませんので、私たちにお話ししていただけたらと思います。
ご興味がある方は下記からお問い合わせください。

ご予約・お問い合わせ

092-541-2781

24時間受付中WEB予約

〒815-0033
福岡県福岡市南区大橋2-12-13

西鉄電車「大橋」駅より8分

西鉄バス「東大橋」バス停より1分

駐車場10台(当院専用4台/
    指定コインパーキング6台)