前歯が欠けた(60代)セラミック修復・ホ…

092-541-2781

キービジュアル

前歯が欠けた(60代)セラミック修復・ホワイトニング

2023年2月27日

年齢 67歳
性別 女性
初診日 2022年7月
主訴 審美障害
治療内容 セラミック修復・ホワイトニング
治療期間 4ヶ月
治療費用 約50万円
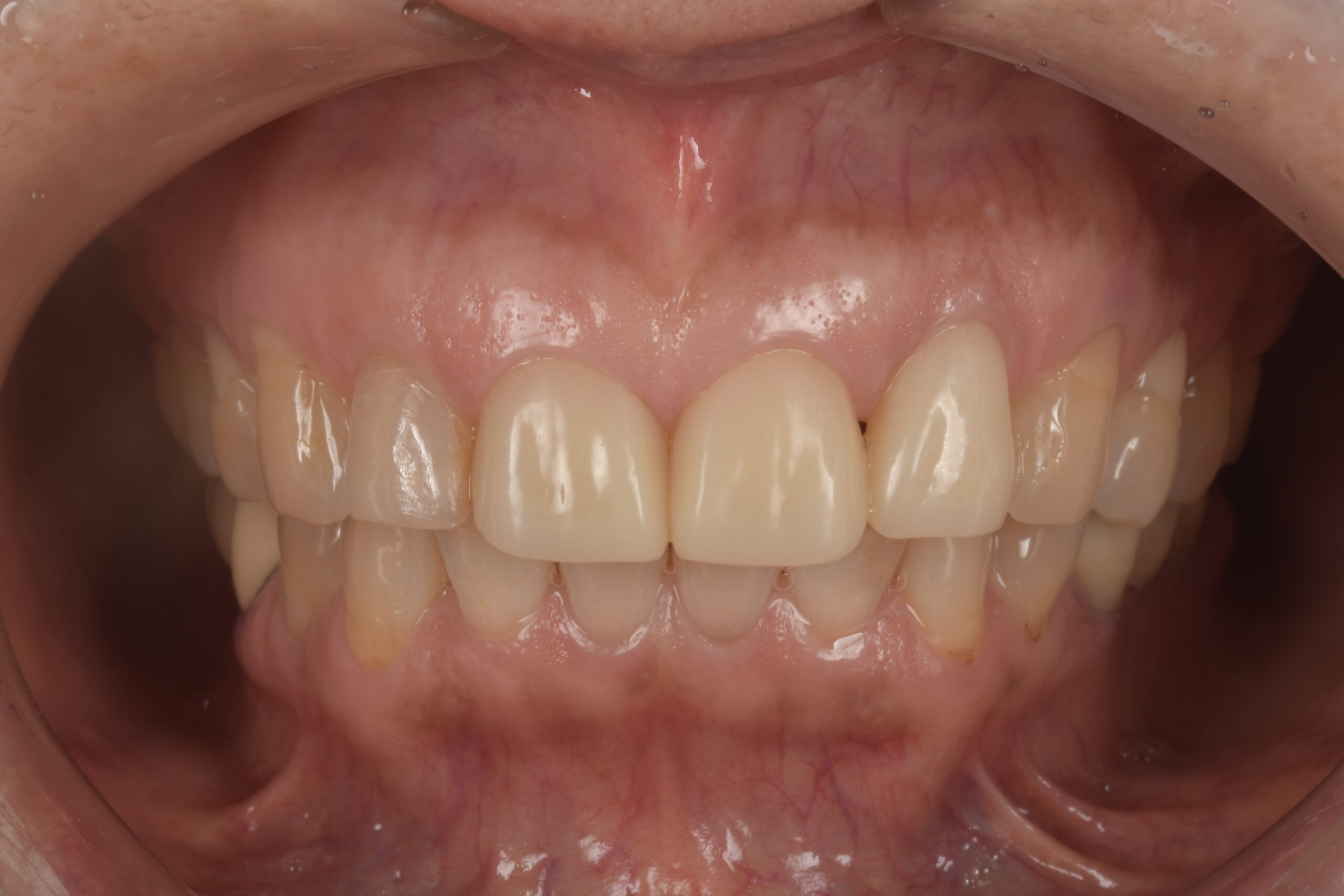
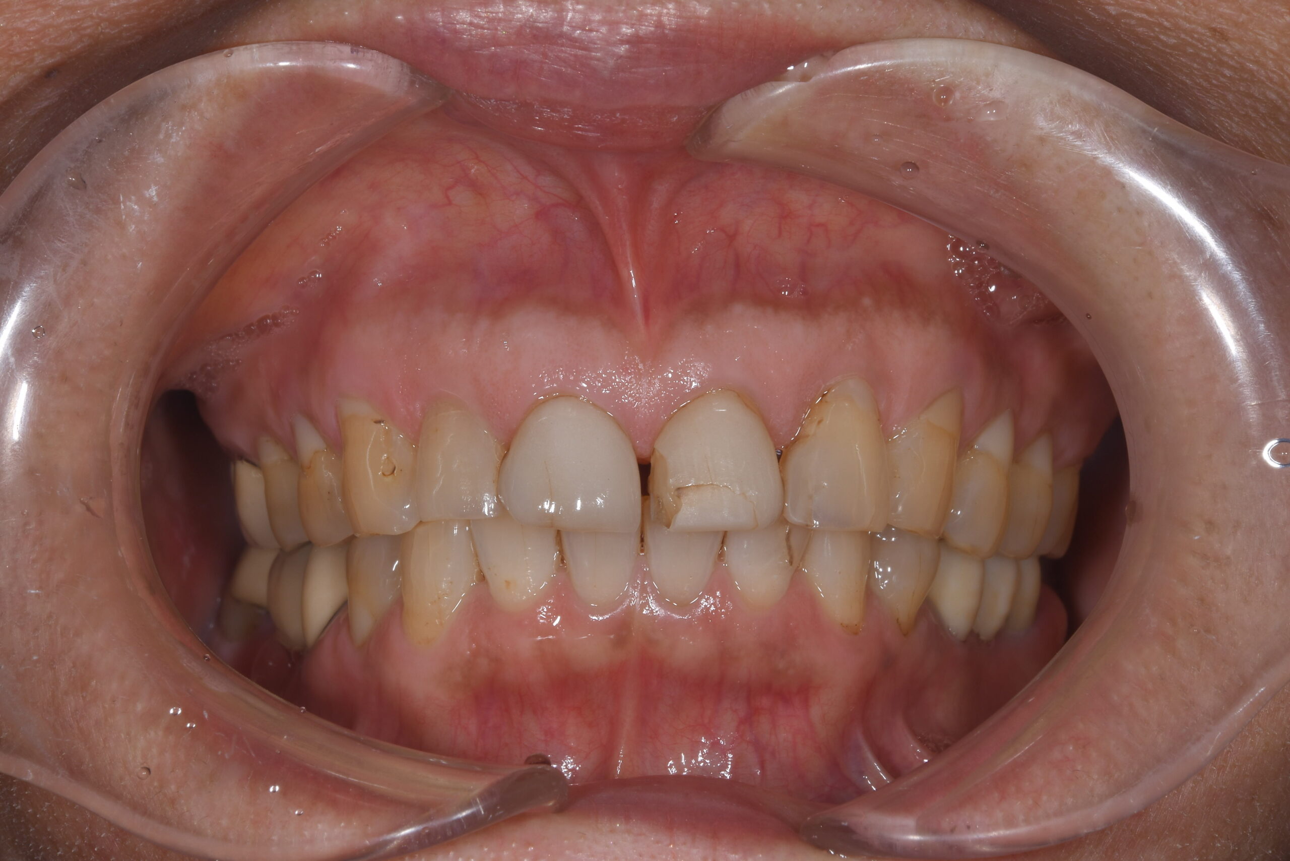
治療経過 前歯が欠けたとのことで来院された。
元々装着されていたラミネートベニアの破折であった。
ラミネートベニアのやり変えに合わせて、左側側切歯のサイズも小さくしたいとのご希望と歯の色も気にされていたため、ホワイトニングをした上で両側中切歯のラミネートベニアはクラウンにて、左側側切歯はラミネートベニアにて修復することとした。
神経にダメージが行かないよう注意深く形成し、仮歯とデジタルデザインにて形態をシミュレーションし、最終補綴物へと移行した。
リスク・副作用について
  • ホワイトニングは知覚過敏の症状や色の後戻りが出る可能性があります。。
  • かみ合わせや歯ぎしりが強い方は割れる可能性があります。
  • 経年的に劣化(摩耗)してくる可能性があります。

初診「個別」相談へのご案内

当院では、患者さんが抱えていらっしゃるお口のお悩みや疑問・不安などにお応えする機会を設けております。どんなことでも構いませんので、私たちにお話ししていただけたらと思います。
ご興味がある方は下記からお問い合わせください。

ご予約・お問い合わせ

092-541-2781

24時間受付中WEB予約

〒815-0033
福岡県福岡市南区大橋2-12-13

西鉄電車「大橋」駅より8分

西鉄バス「東大橋」バス停より1分

駐車場10台(当院専用4台/
    指定コインパーキング6台)